성인의 측만증(Scoliosis in adults) : 노인에서 퇴행성변화와 동반되는 측만이 관찰되요

성인 측만증의 정의
척추가 옆으로 굽어지는 경우이며, 크게 소아기에 발생하는 경우와 뼈의 성장이 끝나고 나서 퇴행성 척추증이나 전방전위증 후에 생기는 경우로 나뉩니다.
노화로 인한 골다공증, 퇴행성 디스크, 협착증, 전방전위증은 측만증의 진행에 기여하며 증상을 더욱 복잡하게 만드는 요인이 되기도 합니다.

성인 측만증의 임상증상
가장 흔한 증상은 기형이 있는 부위에 국한된 통증이며, 흔히 동반되는 질병은 퇴행성 척추증으로 인한 요통입니다.
노화로 인한 퇴행성 변화는 거의 대부분의 환자에게 존재하므로 통증의 원인이 무엇인지를 가리기 위한 평가가 필요합니다.
방사통은 비대칭성 후관절 비후, 비대칭성 퇴행성 디스크, 경미한 회전성 아탈구로 인한 L4, 5 신경근 압박시 가장 흔하게 나타납니다. 신경학적 변화는 흔하지 않지만 장모지신근에서 가장 흔하게 나타납니다.
환자의 주 증상이 진행성 척추기형이어서 "키가 점점 작아진다", "등에 불룩 튀어나온 부위가 점점 커진다", "몸이 한쪽으로 기울어진다"라고 흔히 호소합니다.
등뼈곡선의 변형이 심하면 폐기능에 장애가 오지만, 성인형 측만증에서는 심폐 기능이상은 드문 편입니다. 특발성, 신경근 등뼈 곡선의 변형이 심하면 폐를 압박할 가능성이 큽니다.

성인 측만증의 이학적 검사
선 자세에서 척추 전체를 살펴보고 촉진해야 합니다.
양 어깨와 양 장골능의 높이가 비대칭인지 살펴봅니다. C7의 중심에서 둔부열(gluteal cleft)까지 내린 연직선(plumb line)의 편위를 시진합니다.
허리를 구부리게 하여 후방 가슴우리와 등허리뼈 연결부의 비대칭성 여부가 더 심해지는지 살펴봅니다.
요천수신경근의 건반사, 운동 및 감각기능, 병적 반사, 보행실조 여부, 척수병증(myelopathy) 징후 등이 있는지 살펴봅니다.
성인 측만증의 영상 검사
선 자세에서 전체 척추 AP, lateral view 검사를 합니다.

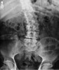
X-ray : 성인의 측만증(Scoliosis in adults)
성인 측만증의 치료
대부분은 운동으로 호전이 됩니다. 운동프로그램은 수중운동으로 시작하여 증상이 감소되면 차차 체간 강화운동을 시작합니다. 유산소 운동도 좋으며, 수영은 체간의 강화 및 유산소 운동이 함께 성취되므로 아주 좋습니다.
통증을 일으키는 척추 근육에 침 치료를 시행합니다.
참고문헌
- 정형외과 진료편람. 서울대학교 의과대학 정형외과학 교실. 2013
2. 쉽게 배우는 정형외과. Okada kyoji. 2014
-
일차진료의를 위한 정형외과 진단과 치료. 김지형. 2011
-
AAOS 핵심 정형외과학 4판. John F. Sarwark. 2013
-
임상의를 위한 통증의 영상진단과 치료. Steven D. Waldman. 2012
-
응급영상진단의 ABC. Otto Chan. 2010
-
스포츠 침구임상 매뉴얼. Matsumoto tadasu. 2007