척추 감염(Spinal infection) : 쉬어도 좋아지지 않는 허리 통증이 계속 지속되요

척추 감염의 정의
척추의 세균성 골수염(Vertebral osteomyelitis)라고도 하며 크게 pyogenic spondylitis와 tuberculous spondylitis로 나뉩니다.
과거 대부분의 척추 감염은 결핵으로 인했으나 근래 결핵유행 감소에도 불구하고 결핵성 척추감염, 비결핵성 척추감염 모두 크게 증가 추세에 있습니다(인구노화, 이감염성 숙주의 감염, 후천성 면역결핍증 유행, 면역저하를 유발하는 다른 조건들, 정맥 내 약물남용의 확산 등으로 인함).
초기 단계의 척추감염은 다른 증상 없이 요통 호소하기 때문에 진단이 늦어지기가 쉬우며 치료가 늦어지거나 잘못하면 심각한 장애를 일으킬 수 있는 질환이기에 주의가 필요합니다.

대부분은 인후염이나 방광염, 치핵 등의 선행 감염증에 이어서 추체의 척추 정맥총을 통하여 추체 종판에 도달하고 추체 상하연에 감염됩니다.
추간판에서 발생하는 것은 추간판염(discitis)라고 하고 척추염의 하나의 형태로 생각됩니다.
발열로 인해 내과에서 진료를 받는 경우가 많고, 초기 때에는 X-ray상 이상소견이 나타나지 않는 경우가 많습니다.
[척추 결핵(Spinal tuberculosis) : 폐결핵이 척추까지 번져서 허리가 아파요
척추 결핵의 정의결핵에 감염된 폐의 결핵균이 혈행성으로 혈류를 따라 추체 종판에 도달하여 감염시킨 것...
blog.naver.com](http://blog.naver.com/nopaindays/220850118576)

척추 감염의 병인
포도상구균(Staphylococcus aureus) : DM환자들은 포도상구균에 감염되기 쉽습니다.
혈행성 파종(hematogenous spread)은 노인과 관련되어 있습니다.
녹농균(Pseudomonas)
살모넬라균(Salmonella)
척추 감염의 감염경로
-
Direct infection of the disc usually through surgical manipulation directly or percutaneously.
-
Local spread from contiguous structures
-
Arterial spread of pyogenic bacteria
-
Venous spread of tuberculous bacteria, usually at the level of renal vein
척추 감염의 임상증상
발열(50%에서 fever가 없음), 발한의 병력이 있으며, 일반적인 권태감과 체중감소을 호소합니다.
통증 : LBP(지속적, 쉬어도 좋아지지 않는 통증), flank pain, chest pain 등으로 다양합니다.
마비 : Epidural abscess로 인한 초기 마비와 significant kyphosis, verterbral collapse, late abscess로 인한 후기 마비가 나타납니다.
척추체 변형은 후기에 발생합니다.
척추 감염의 혈액 검사
발열과 ESR의 증가소견, 때로 WBC의 증가하나 지속적이지는 않습니다.
혈액배양검사, 소변 등의 감염원의 배양검사는 진단적으로 도움이 될 수 있습니다.
척추 감염의 영상 검사
- X-ray : 최초의 방사선학적 소견은 인접한 종판(end plate)의 희박화(rarefaction)이며, 감염된 후 최소 2주에서 3개월은 지나야 발견 가능합니다.

X-ray : 척추 감염(Spinal infection)
2. CT : Paravertebral soft tissue swelling & abscess, changes in the spinal canal

CT : 척추 감염(Spinal infection)
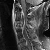
3. MRI
-
정확하고 빠른 효과적인 진단 수단
-
단, pyogenic과 non-pyogenic infection을 감별할 수 없으므로 조직 생검의 필요성을 줄이지는 못합니다.
-
추체와 그 사이의 추간강 부위는 T2 강조영상에서는 신호강도 증가, T1 강조영상에서는 신호강조 감소되어 경막 외 확장이나 연부조직 농양의 윤곽을 나타내는 데 유용합니다.

MRI : 척추 감염(Spinal infection)
4. 핵의학 검사(Tc-99m, Ga-67, In-111 WBC scan)
척추 감염의 분류
- 추간강 감염(Disc space infection)
-
원인 : Surgical manipulation(m/c), penetrating trauma
-
1~2.8% after disc surgery
-
S. aureus가 주요 원인균
-
안정시에도 지속되는 요통, muscle spasm
-
치료
① 항생제 투여전 disc space 생검
② ESR 정상화 될 때까지 항생제 투여
③ 통증 경감위해 8~24개월 body cast 고정 고려

MRI : 추간강 감염(Disc space infection)
- 추간판염(Discitis)
- 병인 : 명백한 유년기의 질병
① 성인은 언제나 감염성(infective)이지만, 유년기에는 염증성(inflammatory) or 감염성
② 약 절반은 추간판 검체의 배양결과가 음성입니다.
③ 조직학적으로 종종 다수의 호산구가 나타나는데 이는 염증 과정과 부합됩니다.
④ 요추가 가장 흔하게 침범됩니다.
- 임상표현
① 환자의 평균연령은 7세(증상의 비특이성 때문에 진단이 늦어집니다)
② 일어나거나 걷지 않으려고 하고, 복통호소, 짜증, 전신적인 권태 징후
③ 질병이나 외상의 기왕력, 발열(not always)
④ 침범된 부위에 부목을 대려고 할 때, 후만 혹은 측만 같은 특이한 자세를 취합니다.
- 진단소견
① ESR, WBC가 상승될 수 있으며, 혈액배양 소견이 양성인 경우는 드뭅니다.
② 테크니슘 99 방사성 동위원소 주사검사 : 가장 유용
③ 단순 방사선상에서 비정상일 때, 추간강 높이의 감소가 나타납니다.
④ 병변 과정이 진행됨에 따라 인접한 척추종판은 불규칙, 미란화됩니다.
- 치료
① 침범된 부분의 휴식이 가장 중요합니다.
② 초기에는 침상휴식. 증상감소하면서 환자는 깁스를 착용한 후에 보행할 수 있습니다.
③ 정맥내 항생제의 필요성에 대해서는 다소 논란의 여지가 있습니다.
④ 두드러진 WBC 상승이나 발열이 있다면 항포도상구균 약물을 투여합니다.

MRI : 추간판염(Discitis)
- 경막외 감염(Epidural space infection)
-
Immunosuppressed patient에 흔합니다.
-
Mortality, morbidity 높습니다.
-
Osteomyelitis와 감별점
① 신경학적 증상이 더욱 빨리 발생
② More acute febrile illness
③ Meningeal irritation sign
- 치료 : 36시간 이전 early decompression 하고 항생제 사용


MRI : 경막외 농양(Epidural space abscess)
- 경막내 감염(Intradural infection)
- 수막염(Meningitis)
① 지주막하 공간 내의 구조물(뇌척수액, 연막, 척수,뇌와 척수의 신경근)의 염증
② 임상표현 : 심한 두통, 경련, 의식의 변화, 경부강직(공통적)
③ 종류 : 화농성, 바이러스성, 육아종성
④ 수막염이 의심되면 요추 천자가 가장 중요한 진단적 검사입니다.
⑤ 수막염의 치료는 내과적이며 원인과 임상 양상에 의해 결정됩니다.
- 척수염(Myelitis)
① 척수를 침범하는 염증성 과정 : 특정 종류 수막염과 척수염은 다소 중복됩니다.
② 특정 바이러스성 감염 척수의 회색질에서 일어나기 쉽습니다(회백수염 : poliomyelitis).
- 수술 후 감염(Postoperative space infection)
-
심부상처의 감염은 보통 수술후 1주일 이내에 분명하게 나타납니다.
-
수술 부위의 Pain, Redness, swelling, natural pus drainage
-
Mild fever, leukocytosis, elevated ESR, CRP
-
치료 : 천부감염은 상처를 신중하게 돌보고 항생제를 사용하는 경우 좋은 반응을 보이며 심부감염은 수술적 관리가 필요
① Massive surgical debridement, drainage, irrigation
② 척추 고정 기기는 육안적 해리가 없는한 척추 안정성 위해 제거하지 않습니다.
③ 이식골에 농이 고여 있는 경우 충분한 세척 후 농에 의해 완전히 사골이 되었다고 생각되는 이식골만 제거합니다.
④ Antibiotics mixed cement bead insertion
⑤ Broad spectrum antibiotics(IV anti 4~5주)
참고문헌
- 정형외과 진료편람. 서울대학교 의과대학 정형외과학 교실. 2013
2. 쉽게 배우는 정형외과. Okada kyoji. 2014
-
일차진료의를 위한 정형외과 진단과 치료. 김지형. 2011
-
AAOS 핵심 정형외과학 4판. John F. Sarwark. 2013
-
임상의를 위한 통증의 영상진단과 치료. Steven D. Waldman. 2012
-
응급영상진단의 ABC. Otto Chan. 2010
-
스포츠 침구임상 매뉴얼. Matsumoto tadasu. 2007