프라이버그씨 병(Freiberg’s disease) : 고등학교 때 농구부 활동을 한 뒤 달리거나 점프하면 둘째 발가락의 발바닥 쪽이 아파요

정의
2nd Köhler 병이라고도 불리는 중족골 골두의 골단염(epiphysitis)으로 대다수가 제2중족골에 발생합니다.
압도적으로 여성에게 많으며(9:1), 발육이 왕성하고 스포츠 활동이 활발한 13~19세에 발병합니다.

임상증상
발끝밀기 때 제2중족지 관절에 통증이 있으며 운동으로 악화됩니다.

이학적 검사
압통과 종창이 있지만 발적, 열감은 없습니다.
축압(axial load)을 걸거나 MTP 관절을 강제적으로 배굴시키면 통증이 심해집니다.
영상 검사
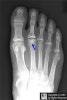
X-ray에서 골두의 편평화, 경화나 분절이 나타납니다.


X-ray : 프라이버그씨 병(Freiberg’s disease)

MRI : 프라이버그씨 병(Freiberg’s disease)
치료
방치하더라도 운동량의 감소와 자연경과에 의해 대부분은 통증이 완화됩니다.
골두의 변형이 남아 40대부터 변형성 관절증이 생기고 통증이 재발하는 증례도 있습니다.
이것을 방지하기 위해서는 운동량을 줄이고 MTP 관절의 배굴을 억제하는 안창과 바닥이 딱딱한 운동화를 처방합니다.
스포츠 활동을 그만두고 싶지 않은 환자에게는 골두 족저측의 정상적인 관절면을 회전시켜 근위지골 관절면에 대향시키는 회전 절골술을 시행합니다.
관절 부위의 통증 감소를 위해 침 치료를 시행합니다.
참고문헌
- 정형외과 진료편람. 서울대학교 의과대학 정형외과학 교실. 2013
2. 쉽게 배우는 정형외과. Okada kyoji. 2014
-
일차진료의를 위한 정형외과 진단과 치료. 김지형. 2011
-
AAOS 핵심 정형외과학 4판. John F. Sarwark. 2013
-
임상의를 위한 통증의 영상진단과 치료. Steven D. Waldman. 2012
-
응급영상진단의 ABC. Otto Chan. 2010
-
스포츠 침구임상 매뉴얼. Matsumoto tadasu. 2007
-
발 클리닉(임상에서 바로 통하는 발 진료 노하우). Suguru inokuchi. 2011