무릎 점액낭염(Knee bursitis) : 무릎 꿇은 자세를 오래 지속한 뒤 통증이 생겼어요

정의
무릎 점액낭은 무릎의 피부와 뼈돌출부 사이 또는 힘줄/인대/뼈 사이에 위치한 주머니 구조물입니다.
만성적인 압박이나 과사용으로 인한 마찰 시에는 이 활액조직이 비후되고 과다한 액이 분비되어 국소 종창과 통증이 생깁니다.
임상적으로 suprapatella, prepatella, infrapatellar, pes anserinus bursa 등이 주로 문제가 됩니다.
급성의 경우 감염이나 외상성의 구별이 필요하며, 만성의 경우 Tuberculosis, RA, Syphilis, Gout 등의 원인을 확인합니다.

분류
- 상슬개점액낭염(suprapatella bursitis)
1) 외상성 : 흡인하여 피가 나오면 진단합니다. 흡인하는 것이 좋고, 그래로 두면 이후 섬유화 되기 쉽습니다.
2) 감염성 : 비교적 드물며, 항생제를 사용하며 적절한 시기에 배농합니다.
3) 만성 : 반복적인 작은 손상이 반복됩니다. 양이 많다면 흡인하는 것이 나으며 양이 적다면 압박붕대로 싸두는 것이 낫습니다.

- 전슬개점액낭염(prepatella bursitis, housemaid knee)
직접적인 가격손상, 과다하게 무릎 꿇는 자세를 필요로 하는 활동(레슬링, 무릎 꿇고 바닥청소)으로 인한 만성적 자극에 의해 염증이 오면 점액낭염, 감염이 생기면 패혈성 점액낭염이 됩니다.
바닥에 무릎을 꿇고 청소하는 가정부에서 잘 발생한다고 하여 housemaid knee라는 별명이 붙었습니다.
무릎을 자주 꿇는 활동을 하는 사람에서 직접 침투로 인한 세균감염은 자기도 모르는 사이에 발생하며 포도상구균(Staphylococcus aureus)과 연쇄상구균(Streptococcus species)이 가장 흔한 원인균입니다.
전슬개점액낭은 돔처럼 생긴 표재성 구조라서 염증이 생기면 종창이 잘 나타납니다.

- 하슬개점액낭염(infrapatellar bursitis, clergyman’s knee)
딱딱한 바닥에 자주 무릎 꿇는 직업력으로 잘 발생합니다.
바닥에 무릎을 꿇고 기도하는 성직자에서 잘 발생한다고 하여 clergyman's knee라는 별명이 붙었습니다.

- 거위발점액낭염(pes anserinus bursitis)
고령이며 비만한 여성에서 잘 발생합니다.
장시간을 걷는 보행자, 마라토너에게 주로 발생하며, 굳이 선수가 아니더라도 건강유지를 위해 혹은 다이어트를 위해 걸어서 출퇴근을 하는 사람들에게 흔히 나타날 수 있어 주의가 필요합니다.
햄스트링(허벅지 근육)이 긴장되어 있는 상태에서 과도하게 사용하거나, 잘못된 트레이닝 방법, 갑자기 언덕을 올라가는 것과 같이 햄스트링에 무리를 주는 동작을 했을 때 발생하기 쉽습니다.

MRI : 거위발점액낭염(pes anserinus bursitis)
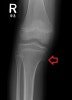
간혹 점액낭 주위에 뼈가 툭 튀어나온 사람도 있습니다. 생각보다 흔한 소견이며 그렇게 뼈가 튀어 나와 있어도 통증이 없는 사람도 많습니다(증상이 없다면 치료의 대상이 아닙니다).

X-ray : Pes anserius spur
임상증상
초기에는 활동하거나 직접 누를 때만 통증이 있다가 차차 통증이 심해져서 일정시간 움직이지 않거나 의자에서 일어나는 순간에 통증을 느끼게 되며 종창도 생깁니다(무릎을 굽혔다 펴는 동작에서 주로 무릎 내측의 통증을 느끼고, 특히 무릎을 펼 때 더 심해진다).
때로 복재신경(saphenous nerve)과 그 무릎뼈 아래분지들이 종창으로 압박을 받으면 무릎뼈 아래쪽에 감각장애(저린 느낌)가 올 수 있습니다.
패혈성 점액낭염 시에는 심한 통증, 국소발열과 발적이 나타납니다. 비감염성의 손상에 의한 점액낭염 시에는 국소부위가 따뜻하게 만져지기는 하지만 통증이나 발적은 없습니다.

이학적 검사
종창, 국소압통 부위를 확인하고 무릎의 가동범위와 보행도 관찰합니다.
진단 검사
뼈의 병변을 감별하기 위해서 만성적인 통증이 있는 환자는 모두 AP & lateral X-ray를 찍도록 합니다.
무릎 앞쪽의 연조직 종창이 있는 경우를 제외하고는 X-ray 소견은 정상으로 나옵니다.
발적이나 국소발열이 있으면 감염성 확인을 위해 천자검사를 해야합니다.
천자액으로는 그람염색, 배양, 세포수 검사, 크리스탈 분석, 활액막염 분석을 시행합니다.
치료
비감염성 점액낭염의 대부분은 보존적 치료로 잘 좋아집니다(점액낭에 종지하고 있는 근육의 통증유발점에 침 치료를 시행합니다).
수술적 치료는 가급적 고려하지 않는게 원칙입니다.
패혈성 점액낭염은 항생제 투여가 필요합니다.
참고문헌
- 정형외과 진료편람. 서울대학교 의과대학 정형외과학 교실. 2013
2. 쉽게 배우는 정형외과. Okada kyoji. 2014
-
일차진료의를 위한 정형외과 진단과 치료. 김지형. 2011
-
AAOS 핵심 정형외과학 4판. John F. Sarwark. 2013
-
임상의를 위한 통증의 영상진단과 치료. Steven D. Waldman. 2012
-
응급영상진단의 ABC. Otto Chan. 2010
-
스포츠 침구임상 매뉴얼. Matsumoto tadasu. 2007