대퇴골두 골절(Femoral head fracture) : 교통사고 후 고관절이 빠지면서 동시에 대퇴골두가 부러졌어요

대퇴골두 골절의 정의
드문 골절로 보통 고관절 탈구와 연관된 골절입니다.
교통사고, 낙상와 같은 고에너지 손상에서 발생합니다.
대퇴골두 골절의 분류(Pipkin classification)
-
Type 1 : Fracture inferior to fovea
-
Type 2 : Fracture superior to fovea
-
Type 3 : Fracture of femoral head with fracture of femoral neck
-
Type 4 : Fracture of femoral head with acetabulum fracture

대퇴골두 골절의 임상증상
대퇴골두 부위의 통증을 호소하며 환측으로 체중을 실을 수 없습니다.
충돌과 동반된 연관된 증상을 호소합니다.
대퇴골두 골절의 진단
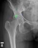
1. X-ray : Hip AP, Lateral view

X-ray : 대퇴골두 골절(Femoral head fracture)

X-ray : 대퇴골두 골절(Femoral head fracture)
2. CT scan : 골절편의 위치와 크기를 평가하고 동반된 비구 골절을 확인

대퇴골두 골절의 치료
- 일반 원칙
-
체중 부하 부위의 관절 congruity와 안정성을 회복합니다.
-
동반된 유리체를 제거합니다.
-
동반된 비구 골절을 치료합니다.
-
대퇴골두에 혈액을 공급하는데 연관된 구조의 손상을 방지합니다.
5) 치유과정에서 진통, 골 유합의 촉진을 위해 침 치료를 적용합니다(근위축 예방과 근육 운동시의 동통완화 효과를 목적으로 합니다).
- 비수술적 치료
- 적응증
① Pipkin type 1: 골절편이 작거나 congruent joint 또는 골절편이 크지만 비전위 골절인 경우
② Pipkin type 2 : 비전위 골절인 경우; 3~4주 동안 자주 X-ray 추시를 해서 추가적인 전위가 없는지 확인해야 합니다.
2) Protected weight bearing : 4~6주
- 수술적 치료
- 적응증
① 1mm 이상의 step-off(작은 Pipkin type 1 제외)
② 동반된 관절내 유리체
③ 수술을 요하는 경부 골절 및 비구 골절
2) Headless countersunk lag screw로 고정 : 기존의 고관절 질환이 있거나 고령의 환자는 처음부터 인공 고관절 치환술을 고려합니다.
Cf) 대퇴부 골간골절(Femoral shaft fracture)
Femur의 전자 밑 부분부터 Supracondylar 사이의 골절입니다.
교통사고 같은 고에너지 외상이 주 원인입니다.
생명을 위협하는 폐, 복부, 머리 부위 손상이 동반된 경우가 흔합니다.
골절은 Femur의 AP, lateral view 검사로 진단이 됩니다.
대부분의 환자가 수술 적응증에 속합니다.

X-ray : 대퇴부 골간골절(Femoral shaft fracture)
참고문헌
- 정형외과 진료편람. 서울대학교 의과대학 정형외과학 교실. 2013
2. 쉽게 배우는 정형외과. Okada kyoji. 2014
-
일차진료의를 위한 정형외과 진단과 치료. 김지형. 2011
-
AAOS 핵심 정형외과학 4판. John F. Sarwark. 2013
-
임상의를 위한 통증의 영상진단과 치료. Steven D. Waldman. 2012
-
응급영상진단의 ABC. Otto Chan. 2010
-
스포츠 침구임상 매뉴얼. Matsumoto tadasu. 2007