소지내반증(Bunionette, Tailer’s bunion) : 폭이 좁은 펌프스나 하이힐을 신은 후, 새끼발가락의 외측에 굳은살이 생겨 구두에 닿으면 아파요

소지내반증의 정의
무지외반증과 대칭적으로 소지가 내측으로 구부러지는 변형입니다.
다섯째 중족골두 가쪽이 돌출되고 작은 발가락들이 안쪽으로 편위됩니다.
무지에 비해 작기 떄문에 변형이 눈에 띄지 않기 때문인지, 소지내반증을 주요 증상으로 내원하는 환자는 적으나 빈도, 통증의 강도 모두 무지외반증에 필적하거나 그 이상입니다.
좁고 꽉 조이거나 앞코가 뾰족한 신발을 자주 신는 습관과 관련이 있습니다.

소지내반증의 분류
1. M4, M5각이 큰 경우
-
중족골이 원위부에서 외측으로 만곡되는 경우
-
제5중족지관절만이 내반하는 경우

소지내반증의 임상증상
제5중족지관절 외측이 튀어나와 구두에 닿은 것 외에 발톱 외측에 티눈이 생기거나 제4족지에 발톱이 파고들거나 해서 아픕니다.
통증이 있어서 편한 신발을 찾게 됩니다.

소지내반증의 이학적 검사
육안으로 기형이 뚜렷하며 굳은살이 종종 관찰됩니다.
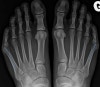
소지내반증의 영상 검사
체중부하 상태에서 AP view를 찍으면 다섯째 중족골의 몸쪽은 안쪽으로, 다섯째 중족골간(intermetatarsal bone)는 가쪽으로 편위 그리고/또는 중족골두 가쪽의 돌출 소견을 보입니다.
관절 자체는 대개 정상입니다.

X-ray : 소지내반증(Bunionette, Tailer’s bunion)
소지내반증의 치료
패드나 패치로 대증적으로 치료하는 것 외에 신발을 수선합니다.
발등과 발가락 부위가 넓고 편한 신발을 신도록 해야 합니다.
호전되지 않으면 건막류를 수술적으로 제거하거나 뼈절개수술로 정렬을 잡아주기도 합니다(대개 원위부에서의 교정 절골술을 시행합니다).

참고문헌
- 정형외과 진료편람. 서울대학교 의과대학 정형외과학 교실. 2013
2. 쉽게 배우는 정형외과. Okada kyoji. 2014
-
일차진료의를 위한 정형외과 진단과 치료. 김지형. 2011
-
AAOS 핵심 정형외과학 4판. John F. Sarwark. 2013
-
임상의를 위한 통증의 영상진단과 치료. Steven D. Waldman. 2012
-
응급영상진단의 ABC. Otto Chan. 2010
-
스포츠 침구임상 매뉴얼. Matsumoto tadasu. 2007
-
발 클리닉(임상에서 바로 통하는 발 진료 노하우). Suguru inokuchi. 2011