선천성 지절유합증(Congenital symphalangism) : 넷째 발가락와 새끼 발가락 사이에 티눈이 생겨 아파요

정의
새끼 발가락의 원위지골과 중지골이 선천적으로 유합되어 있는 사람이 적지 않습니다.
제4족지, 나아가 제3족지까지 DIP 관절이 유합되어 있는 경우도 있습니다.
소지에서는 PIP 관절도 유합되어 하나의 지골이 될 수도 있지만 드뭅니다.
임상증상
특별히 장애는 없지만 DIP 관절이 움직이지 않기 때문에 관절부의 부푼 곳이 신발이나 인접 발가락에 닿아 티눈의 원인이 되는 경우가 있습니다.

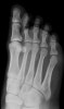
X-ray : 선천성 지절유합증(Congenital symphalangism)
치료
티눈이 신발이 마찰되지 않기 위해 볼이 넓고 편한 신발을 신습니다.
참고문헌
- 정형외과 진료편람. 서울대학교 의과대학 정형외과학 교실. 2013
2. 쉽게 배우는 정형외과. Okada kyoji. 2014
-
일차진료의를 위한 정형외과 진단과 치료. 김지형. 2011
-
AAOS 핵심 정형외과학 4판. John F. Sarwark. 2013
-
임상의를 위한 통증의 영상진단과 치료. Steven D. Waldman. 2012
-
응급영상진단의 ABC. Otto Chan. 2010
-
스포츠 침구임상 매뉴얼. Matsumoto tadasu. 2007
-
발 클리닉(임상에서 바로 통하는 발 진료 노하우). Suguru inokuchi. 2011