Distal radioulnar joint injury
1. Acute TFCC injury
1) Acute dislocations of DRUJ : Uncommon injury
Dorsal or volar, simple or complex
Dorsal dislocation is more common.
Close manipulation and reduction under anesthesia is usually successful.
Once the joint is reduced, stability must be verified.

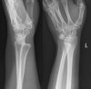
X-ray : Isolated DRUJ Dislocation
2) DRUJ injury associated with fracture, fracture-dislocation
① Ulnar styloid fracture
② Galeazzi fracture-dislocation
③ Essex-Lopresti injury(Radial head fracture-dislocation)
X-ray : Essex-Lopresti injury
* Careful assessment of the preoperative X-rays can indicate a possibility of DRUJ instability
① Shortening of radius>5mm relative to ulna
② Fracture of the base of ulnar styloid
③ Widening of the DRUJ interval on PA view
④ Dislocation of the DRUJ on lateral view
2. Chronic DRUJ injury
1) Chronic TFCC injury
* Chronic DRUJ Instability
Chronic DRUJ instability can result from fractures of the distal radius and ulna following inadequate treatment of malunion.
If untreated, these lead to chronic pain and disability due to stiffness, decreased grip strength, and arthritis.
Management of chronic DRUJ instability depends primarily on the underlying cause.
Correct malunion, length discrepancies first
Soft tissue reconstruction indicated in symptomatic patients in whom TFCC is irreparable & sigmoid notch incompetent.
Arthritis of DRUJ requires salvage procedures.

X-ray : Chronic DRUJ Instability
2) Ulnar impaction syndrome
3. DRUJ arthritis