종자골 골절(Sesamoid fracture, Sesamoiditis) : 지속적으로 조깅을 하고 나서 엄지발가락 아래가 아파요

정의
첫째 발허리발가락관절(MTP joint)은 안쪽 및 가쪽, 2개의 종자뼈를 가지고 있습니다.
안쪽보다는 가쪽 종자뼈가 연조직으로 더 잘 보호되어 있어서 안쪽 종자뼈 골절이 더 흔합니다.
둘째~다섯째 발허리뼈머리에 부종자뼈(accessory sesamoid bone)가 있는 경우도 있으며 가장 흔한 위치는 첫째 발허리뼈머리의 가쪽입니다.

원인
직접적인 외상이 흔한 원인이며, 발허리발가락관절의 과신전, 반복적인 스트레스에 의해서도 발생합니다.
달리기나 무용으로 인한 반복적인 스트레스는 피로골절이나 박리골절을 유발할 수도 있습니다.
분열 종자골, 골절, 피로골절, 가성관절, 골연골장애, 무균 괴사로부터 주위 조직의 손상이나 염증, 점액낭염까지 매우 많은 병태가 있지만 전형적인 예 이외에는 감별이 어렵습니다.
임상증상
첫번째 발허리뼈머리 밑에 통증, 종창이 있으며 드물게 출혈반점이 보입니다.
직접 손상병력, 신전 병력, 반복적 스트레스(달리기, 점핑, 무용) 병력이 종종 있습니다.
이학적 검사
골절 부위에 국소통증이 있으며, 엄지발가락을 움직일 때마다 통증 위치가 움직입니다.
첫번째 발허리발가락 관절을 족배굴곡시 통증이 심해질 수 있으며, 가동범위 제한이 발생합니다.

영상 검사
AP view, lateral view, axial view 촬영을 시행합니다(가쪽 종자뼈는 oblique view에서 가장 잘 보입니다).
이분 종자뼈(bipartite sesamoid)가 정상이 변이형으로 존재하므로 골절과 감별해야 합니다.
정상적으로 25%에서는 선천적으로 종자뼈가 2분 혹은 여러 개로 갈라져 생기며, 이때는 불규칙한 경계를 보이는 골절과 달리 X-ray상 경계부가 부드럽습니다.
확인을 위해 반대쪽 발의 X-ray, 뼈주사가 감별에 도움을 줄 수 있습니다.

사진상 골절이 보이기도 하는데 대부분 이전부터 있었던 골절이며, 실제 무증상 골절인 경우도 많습니다. 만약 이번 충격이 강한 충격이었고 골절 양상이 최근 것처럼 보인다면 급성골절에 준하여 치료합니다.
뼈주사 사진상 골절 시에는 국소음영 증가, 이분 종자뼈 시에는 정상 소견으로 나타납니다.
MRI에서는 골절이 있으면 골수부종 소견이 나타납니다(족장판(plantar plate), 종자뼈사이 인대, 굴근건을 평가하는데에도 MRI가 도움이 됩니다).

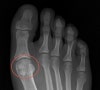
X-ray : 종자골 골절(Sesamoid fracture, Sesamoiditis)
CT : 종자골 골절(Sesamoid fracture, Sesamoiditis)
치료
외상, 과잉 사용, 염증 중 어떤 것이 주체인지를 진단하고, 그에 따라 치료방향을 결정합니다.
급성골절 시에는 탈착이 가능한 짧은 다리보조기 또는 밑이 둥근 발목지지대(rocker bottom)이면서 밑창이 단단한 신발을 착용하도록 합니다.
대개 증상이 좋아지는 4주 정도 후에 앞심(toe box)이 높고 밑창이 단단한 신을 신을 수 있습니다.
보존적 치료에도 통증이 사라지지 않으면 아프지 않은 정도로 활동을 억제하거나 수술(종자골 적출)을 고려합니다.
치유과정에서 진통, 골 유합의 촉진을 위해 침 치료를 적용합니다(근위축 예방과 근육 운동시의 동통완화 효과를 목적으로 합니다).
참고문헌
- 정형외과 진료편람. 서울대학교 의과대학 정형외과학 교실. 2013
2. 쉽게 배우는 정형외과. Okada kyoji. 2014
-
일차진료의를 위한 정형외과 진단과 치료. 김지형. 2011
-
AAOS 핵심 정형외과학 4판. John F. Sarwark. 2013
-
임상의를 위한 통증의 영상진단과 치료. Steven D. Waldman. 2012
-
응급영상진단의 ABC. Otto Chan. 2010
-
스포츠 침구임상 매뉴얼. Matsumoto tadasu. 2007
-
발 클리닉(임상에서 바로 통하는 발 진료 노하우). Suguru inokuchi. 2011