무지내반증(Hallux varus) : 무지외반증 수술을 하고 난 뒤 엄지발가락이 안쪽으로 휘었어요

정의
선천적인 경우를 제외하고는 무지외반증 수술후 발생하는 경우가 대부분입니다.

임상증상
증상 호소는 생각보다 많지 않습니다.

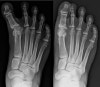
X-ray : 무지내반증(Hallux varus)
치료
증상이 심하면 수술적 치료를 고려할 수 있다.
참고문헌
- 정형외과 진료편람. 서울대학교 의과대학 정형외과학 교실. 2013
2. 쉽게 배우는 정형외과. Okada kyoji. 2014
-
일차진료의를 위한 정형외과 진단과 치료. 김지형. 2011
-
AAOS 핵심 정형외과학 4판. John F. Sarwark. 2013
-
임상의를 위한 통증의 영상진단과 치료. Steven D. Waldman. 2012
-
응급영상진단의 ABC. Otto Chan. 2010
-
스포츠 침구임상 매뉴얼. Matsumoto tadasu. 2007
-
발 클리닉(임상에서 바로 통하는 발 진료 노하우). Suguru inokuchi. 2011