무지외반증(Hallux valgus) : 엄지 발가락 내측이 서서히 아파져서 지금은 일반적인 신발을 신어도 아파요

정의
엄지발가락의 제1중족 족지 관절이 발의 외측으로 치는 변형입니다.
중족골은 내측으로, 근위 지골은 외측으로 전위되며, 제1중족 족지 관절의 점액낭에 염증이 발생하는 질환으로 회내 변형을 동반한 3차원적인 변형입니다.
여성에게 많으며(9:1), 다소 유전적인 경향이 있습니다.
만일 남성이나 젊은 사람에게 생겼다면 좀 더 심해 질 가능성이 있습니다.
원인
-
후천적 요인 : 앞이 뾰족하고 좁은 신발을 장기간 사용
-
선천적 요인 : 평발, 넓적한 발, 원발성 중족 내전증, 원위 중족 관절면각이 과다한 경우, 제1열이 과다하게 유연한 발
진행과정
처음에는 무지의 외반과, 제1중족골 내반뿐이지만 서서히 전족부의 횡아치가 무너져 개장족이 되며 소지내반증도 합병됩니다.
진행되면 무지는 제2족지 아래로도 파고들며, 제2족지는 망치 족지가 되고, 마지막에는 MTP관절이 병적 탈구됩니다.
임상증상
‘<‘모양으로 구부러져 MTP관절 내측이 신발에 닿아 아픕니다.
하이힐을 신기 시작하는 20대 초반부터 호발하며, 집에 들어가 하이힐을 신지 않게 되면 변형은 낫지 않지만 다스려집니다.
그러나 중등도 이상의 무지외반증은, 그 후 걷는 것만으로 변형이 진행되어 중년이 되고 나서는 보통 신발을 신어도 아프게 됩니다.
단지 모양만 비뚤어지는 것이 아니라 MTP joint가 아프고 붓기도 하며, distal area의 지각신경이 눌려 감각이 둔화되거나 저린 느낌이 생길수 있습니다.


이학적 검사
대부분의 환자들은 가동범위는 정상을 유지합니다.
엄지외 발가락 변형이 관찰됩니다.
가쪽휨된 엄지발가락에 의해 둘째 발가락이 위로 겹쳐지는 것이 가장 흔한 문제입니다.
그 외에 티눈, 굳은살, 망치족, 유사건막류(bunionette) 등이 있습니다.
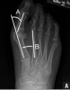
영상 검사
체중부하 상태의 AP view에서 계측합니다.
제1중족골과 무지근위지골의 장축이 이루는 각도가 외반무지각(HV angle)으로 통상 8º 이내, 1530º를 경도, 3040º를 중등도, 그 이상은 중증도입니다.
IM angle이 통상 8º 이내, 13º까지를 경도, 20º까지를 중등도, 그 이상은 중증도입니다.
DMA angle의 정상 범위는 10º이내입니다.


X-ray : 무지외반증(Hallux valgus)
치료
소아에서는 그냥 관찰하도록 하고 성인에서는 교육과 신발 교정을 합니다(그 외에 물리치료 및 운동치료와 보장구에 의한 보존적 치료, 약제나 패치, 수술 등이 있습니다).
변형이 심해도 증상이 없는 경우는 치료가 필요하지 않습니다.
왕성한 활동 중인 운동선수는 수술을 하면 경기능력에 지장을 주므로 가급적 수술을 피해야 합니다.
비수술적 치료로 계속 호전되지 않고 장애가 있는 환자는 수술을 고려해야 합니다.
경미한 경우는 대개 호전됩니다.
비수술적 치료로 계속 호전되지 않고 장애가 있는 환자는 수술을 고려해야 합니다(통증이 있고 무지외반각(HV angle)이 30º, 중족골간각(IM angle)이 15º를 넘으면 수술을 고려합니다).

퇴행성 관절염이 동반되지 않은 사람의 경우에는 수술적 방법으로 교정하도록 하는데 진행이 많이 된 경우에는 근위부에서 절골술(osteotomy)을 시행합니다.
Cf) 발가락 점액낭염(Toe bursitis, Foot bursitis)
무지의 MTP 관절 내측에 있는 점액낭에 생긴 염증입니다
무지외반각이 작은 것에 비해서 통증과 염증 증상이 심한 것이 특징입니다.
닿지 않는 신발을 신고 보존적 치료를 시행합니다.

참고문헌
- 정형외과 진료편람. 서울대학교 의과대학 정형외과학 교실. 2013
2. 쉽게 배우는 정형외과. Okada kyoji. 2014
-
일차진료의를 위한 정형외과 진단과 치료. 김지형. 2011
-
AAOS 핵심 정형외과학 4판. John F. Sarwark. 2013
-
임상의를 위한 통증의 영상진단과 치료. Steven D. Waldman. 2012
-
응급영상진단의 ABC. Otto Chan. 2010
-
스포츠 침구임상 매뉴얼. Matsumoto tadasu. 2007
-
발 클리닉(임상에서 바로 통하는 발 진료 노하우). Suguru inokuchi. 2011