쇼파르 관절염(Chopart's arthritis) : 옛날부터 자주 달리기를 했는데 40세를 넘어서는 달리면 가끔 발등이 아파지더니 최근에는 걷기만 해도 아파요

정의
Chopart 관절의 변형성 관절증(관절염)은 주로 염좌로부터 탈구골절까지 여러 가지 외상이 계속되어 일어납니다.
임상증상
족근골 혹(Tarsal boss)은 관절 가장자리의 골극이지만, 변형성 관절증으로서의 통증과 골극이 신발에 닿아 통증이 있습니다.
[족근골 혹(Tarsal boss) : 꽉 끼는 구두의 끈을 조이면 발등이 아프고, 좀처럼 좋아지...
정의Lisfranc 관절이나 Chopart 관절의 골극으로, 배측에 골융기를 발생시킵니다. 임상증상신발에 닿아 ...
blog.naver.com](http://blog.naver.com/nopaindays/220815869028)


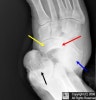
X-ray : Chopart injury

X-ray : Chopart injury
치료
아치받침 또는 구두에 패드에 대어 치료합니다.
관절 부위의 통증 감소를 위해 침 치료를 시행합니다.
참고문헌
- 정형외과 진료편람. 서울대학교 의과대학 정형외과학 교실. 2013
2. 쉽게 배우는 정형외과. Okada kyoji. 2014
-
일차진료의를 위한 정형외과 진단과 치료. 김지형. 2011
-
AAOS 핵심 정형외과학 4판. John F. Sarwark. 2013
-
임상의를 위한 통증의 영상진단과 치료. Steven D. Waldman. 2012
-
응급영상진단의 ABC. Otto Chan. 2010
-
스포츠 침구임상 매뉴얼. Matsumoto tadasu. 2007
-
발 클리닉(임상에서 바로 통하는 발 진료 노하우). Suguru inokuchi. 2011