중족골 피로골절(Metatarsal stress fracture) : 행군을 많이 한 뒤 발등에 통증이 있어요

정의
중족골에 발생한 피로골절(stress fracture)입니다.
갑작스런 신체활동 증가(예 : 강도나 시간이 늘어난 새로운 훈련), 달리는 지표면 변화, 장기간 보행시 생길 수 있습니다. 최근에는 발레리나에서 많이 볼 수 있습니다.
제 2족지는 길고 족근중족관절(Lisfranc joint)로 확실하게 고정되어 있기 때문에 제 2중족골에 압박이 가해지기 쉽고 피로골절이 잘 발생합니다.

임상증상
반복적인 부하 후 발생하는 전족부의 통증을 호소합니다.
휴식을 취하는 경우 통증이 감소합니다.

진단
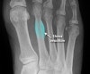
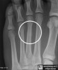
발의 AP view, lateral view, oblique X-ray 촬영을 실시합니다.
손상 후 2~3주까지는 X-ray에 안 보일 수 있으므로 시간이 지나 재촬영을 해야 합니다.

X-ray : 중족골 피로골절(Metatarsal stress fracture)

MRI : 중족골 피로골절(Metatarsal stress fracture)
치료
과도한 운동을 금지하는 것만으로 충분하지만 통증이 심한 경우네는 단기간의 석고 고정이나, 단단한 재질의 아치받침으로 안정을 도모합니다.
치유과정에서 진통, 골 유합의 촉진을 위해 침 치료를 적용합니다(근위축 예방과 근육 운동시의 동통완화 효과를 목적으로 합니다).
참고문헌
- 정형외과 진료편람. 서울대학교 의과대학 정형외과학 교실. 2013
2. 쉽게 배우는 정형외과. Okada kyoji. 2014
-
일차진료의를 위한 정형외과 진단과 치료. 김지형. 2011
-
AAOS 핵심 정형외과학 4판. John F. Sarwark. 2013
-
임상의를 위한 통증의 영상진단과 치료. Steven D. Waldman. 2012
-
응급영상진단의 ABC. Otto Chan. 2010
-
스포츠 침구임상 매뉴얼. Matsumoto tadasu. 2007
-
발 클리닉(임상에서 바로 통하는 발 진료 노하우). Suguru inokuchi. 2011