Lisfranc 관절염(Lisfranc arthritis, Midfoot arthritis) : 옛날부터 자주 달리기를 했는데 최근 들어서는 달리면 가끔 발등이 아파지더니 최근에는 걷기만 해도 아파요
정의
Lisfranc 관절에 변형이 생기는 관절염입니다.
과다한 사용이나 연령 증가에 의한 변화로부터 염좌, 탈구, 골절까지 여러 가지 원인으로 생깁니다.

임상증상
체중부하에 의한 통증과 발등에 국소 압통이 있습니다.

진단
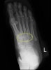
X-ray상 Lisfranc 관절에 spur, joint space narrowing, bone sclerosis가 나타납니다.

X-ray : Lisfranc 관절염(Lisfranc arthritis, Midfoot arthritis)
치료
높은 아치받침으로 관절의 접촉 압력을 감소시키고, 운동을 억제합니다.
관절 부위의 통증 감소를 위해 침 치료를 시행합니다.
보존적 치료로 통증이 개선되지 않으면 고정술을 고려합니다.
참고문헌
- 정형외과 진료편람. 서울대학교 의과대학 정형외과학 교실. 2013
2. 쉽게 배우는 정형외과. Okada kyoji. 2014
-
일차진료의를 위한 정형외과 진단과 치료. 김지형. 2011
-
AAOS 핵심 정형외과학 4판. John F. Sarwark. 2013
-
임상의를 위한 통증의 영상진단과 치료. Steven D. Waldman. 2012
-
응급영상진단의 ABC. Otto Chan. 2010
-
스포츠 침구임상 매뉴얼. Matsumoto tadasu. 2007
-
발 클리닉(임상에서 바로 통하는 발 진료 노하우). Suguru inokuchi. 2011