부주상골 증후군(Accessory navicular) : 내측 복사뼈 아래쪽에 통증이 있어요

정의
부주상골(accessory navicular bone)은 주상골 내측에 있는 부골로 주상골과 반관절을 형성하고 후경골근의 일부가 부착합니다.
약 20%에서 나타나며 족부의 과잉뼈로서는 가장 많지만 치료를 필요로 할 정도의 통증은 의외로 적습니다.
주상부골이 있는 발은 평발과 혼동하기 쉬운데, 내측이 툭 튀어나와 평발이 더 과장된 듯 보여 그렇습니다.
다른 이름
Prehallux syndrome(전무지 증후군)
Os naviculare

원인
부주상골과 주상골 사이의 연골판이 외상에 의해 손상되고, 후경골근건의 반복적 견인력에 의해 생긴 섬유조직의 염증, 골연골염, 내지는 연골판의 가성관절로 생각됩니다.

분류
-
Type 1 : 주상골 체부와 붙어 있지 않고 잘 경계 지어져 있는, 원형 또는 타원형의 매우 작은(대개 2~3 mm) 부골입니다. 주상골과 골성이나 연골성으로 결합하지 않으며 후경골건의 족저부에 존재하여 종자골(sesamoid bone) 성격을 띱니다. 부주상골의 약 30%를 차지하며 대개 증상이 없습니다.
-
Type 2 : 주상골 체부의 독립된 8-12 mm 크기의 부골로, 주상골과 2mm 이내의 간격을 두고 섬유-연골성 판(fibrocartilaginous plate)으로 나뉘어 연골성 결합(synchondrosis)을 합니다.
주상골 체부와 연결되는 각에 따라 2a형과 2b형으로 소분류 하는데, 제 2a형은 2b형에 비해 작은 각으로 체부에 붙어서 견열 손상에 더 취약합니다.
3. Type 3 : 부주상골이 주상골 체부와 골성 유합으로 연결된 형태로 원뿔 모양의 주상골을 형성하는데 대부분 증상을 일으키지 않습니다.
임상증상
사춘기의 스포츠 선수에게 많으며, 주상골 내측의 돌출부에 일치해서 통증을 호소합니다.
주로 청소년기 이전에 좀 아프다가 성인이 되면서 좋아지는 경향을 보이나, 어떤 자극이 될 만한 상황과 만나면 다시 아파지곤 합니다(염좌 등의 외상이나 격렬한 운동이 자극이 되어 발병되는 경우가 많습니다).

진단
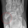
Foot DP, lateral, oblique view를 촬영합니다.


X-ray : 부주상골 증후군(Accessory navicular)
치료
급성기에 염증이 심한 시기에는 국소부위의 안정, 경우에 따라서는 3주 정도의 석고 고정을 실시합니다.
주상골에 종지하고 있는 후경골근의 통증유발점에 침 치료를 시행합니다.
운동량을 줄이는 것이 중요하지만 돌출부가 신발에 의해 압박되는 것도 한 요인이므로 신발의 가장자리가 닿지 않게 개량합니다.
튀어 나온 부분에 도넛모양의 또아리를 만들어서 튀어나온 부분이 직접 신발에 닿지 않게 하는 것도 하나의 방법이 됩니다.
염증이 가라앉은 시기부터 내측 가장자리를 낮게 하여 부주상골 부위를 제외한 아치받침을 처방합니다.
보존적으로 개선되지 않는 증례에서는 부주상골의 적출술을 고려합니다.
수술을 하더라도 증상은 좋아지지 않을 수 있기 때문에 신중히 결정합니다.
참고문헌
- 정형외과 진료편람. 서울대학교 의과대학 정형외과학 교실. 2013
2. 쉽게 배우는 정형외과. Okada kyoji. 2014
-
일차진료의를 위한 정형외과 진단과 치료. 김지형. 2011
-
AAOS 핵심 정형외과학 4판. John F. Sarwark. 2013
-
임상의를 위한 통증의 영상진단과 치료. Steven D. Waldman. 2012
-
응급영상진단의 ABC. Otto Chan. 2010
-
스포츠 침구임상 매뉴얼. Matsumoto tadasu. 2007
-
발 클리닉(임상에서 바로 통하는 발 진료 노하우). Suguru inokuchi. 2011