주상골 골절(Navicular fracture) : 자전거를 타고 가다 넘어진 뒤 발 가운데가 아파요

정의
종족골 골절 중 가장 흔한 골절입니다.
손상기전은 eversion injury(high arches, poor shoes)입니다.
부주상골(Accessory navicular)와 감별이 중요합니다.

분류
1. Dorsal avulsion fracture(50%)
2. Tuberosity fracture(20~25%)
- Body’s fracture : 추락이나 direct blow에 의해 압박골절 유발

임상증상
중족부의 막연한 통증과 부종을 호소합니다.
이학적 검사
일반적으로 발목과 거골하 관절의 움직임은 제한되지 않습니다.
중족부에 압통이 있습니다.
영상검사
X-ray에서 발견하지 쉽지 않아 종종 놓치기도 합니다.
Oblique 45' view는 tuberosity fractures를 발견하기 유용합니다.

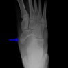
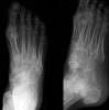
X-ray : 주상골 골절(Dorsal avulsion fracture)

X-ray : 주상골 골절(Dorsal avulsion fracture)
치료
- 보존적 치료
적응증은 navicular stress fracture입니다.
석고 고정과 비체중 부하를 6~8주간 시행합니다.
치유과정에서 진통, 골 유합의 촉진을 위해 침 치료를 적용합니다(근위축 예방과 근육 운동시의 동통완화 효과를 목적으로 합니다).

- 수술적 치료
적응증은 high level athletes, nonunion of navicular stress fracture, failure of cast immobilization and non weight bearing입니다.
개방적 정복 및 내고정을 시행합니다.
치유과정에서 진통, 골 유합의 촉진을 위해 침 치료를 적용합니다(근위축 예방과 근육 운동시의 동통완화 효과를 목적으로 합니다).
Cf) 주상골 피로골절(Stress fracture of navicular bone)
소년 야구 등 과도한 운동에 의해 주상골에 피로골절을 일으키는 경우가 있습니다.
Congenital bipartite navicular일 가능성이 있으므로 감별을 필요로 하지만 안정에 의한 통증의 소실이나 가골의 형성에 의해 진단할 수 있습니다.

참고문헌
- 정형외과 진료편람. 서울대학교 의과대학 정형외과학 교실. 2013
2. 쉽게 배우는 정형외과. Okada kyoji. 2014
-
일차진료의를 위한 정형외과 진단과 치료. 김지형. 2011
-
AAOS 핵심 정형외과학 4판. John F. Sarwark. 2013
-
임상의를 위한 통증의 영상진단과 치료. Steven D. Waldman. 2012
-
응급영상진단의 ABC. Otto Chan. 2010
-
스포츠 침구임상 매뉴얼. Matsumoto tadasu. 2007
-
발 클리닉(임상에서 바로 통하는 발 진료 노하우). Suguru inokuchi. 2011