거골 골절(Talus fracture) : 높은 곳에서 떨어진 뒤 걸을 수가 없어요

정의
뒷발에 위치한 거골의 골절로 대개 교통사고나 추락사고 같은 심한 외상이 원인입니다.
족근골 골절 중 종골 골절에 이어 두 번째로 흔합니다.
혈액 공급이 미약하기 때문에 골절 후 쉽게 무혈성 괴사의 위험에 빠집니다.


분류
1. Major
- Head(5-10%), Neck(50%), Body(23%)
2) High energy mechanism
2. Minor
1) Chip fractures treated like sprains
2) Fragments > 5mm may need excision
임상증상
급성통증, 보행장애를 호소합니다.
이학적 검사
종창과 압통이 흔합니다.
골절 원위 부위의 천비골신경, 심비골신경, 경골신경, 내측 및 외측 족저신경 기능을 평가하도록 합니다.
종창이 심하면 혈관박동 촉진이 안 될 수 있으며, 발가락을 손으로 눌러서 모세혈관에 혈류가 잘 회복되는지 살펴봅니다.
구획증후군이 있는지 평가하기가 힘들지만, 아치 부위에 심한 종창이 있으면 발바닥 구획증후군을 시사합니다.
낙상 손상 시에는 요추 압박골절 또는 낙상 쪽 하지의 다른 손상이 동반될 수 있습니다.
영상 검사
AP/Lateral/Axial, Broden’s view를 촬영합니다.
Ankle injury 초기에 X-ray에서 발견되지 않고 수 주가 흐른 뒤에야 골절을 진단할 수있는 경우도 있습니다.
6주 이상 talus 부위(주로 발목의 앞쪽)에 통증이 잔존해 있을 경우 CT를 통해 talus fx를 rule out 해야합니다.
치료
- 거골경 골절(Talus neck fracture)
거골 골절 중 가장 흔하며 손상기전은 족관절의 과신전입니다.
무혈성괴사와 퇴행성 관절염의 높은 위험인자입니다.

* Hawkins Classification
Type 1 : Nondisplaced and lack joint involvement
Type 2 : Displacement of the talar neck with subluxation or dislocation of the subtalar joint and preservation of the ankle joint
Type 3 : Displaced with dislocation of the talus from both the subtalar and ankle joints
Type 4 : Type 2 injury with associated talar head dislocation


비전위성 골절은 6~12주 단하지 석고를 적용합니다.
전위 골절은 정복술 및 수술적 내고정술을 시행합니다.
3개월간 체중부하 보행 최소화합니다.
치유과정에서 진통, 골 유합의 촉진을 위해 침 치료를 적용합니다(근위축 예방과 근육 운동시의 동통완화 효과를 목적으로 합니다).

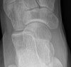
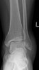
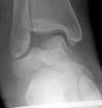
X-ray : 거골경 골절(Talus neck fracture)

X-ray : 거골경 골절(Talus neck fracture)

X-ray : 거골경 골절(Talus neck fracture)
- 거골체 골절(Talar body fracture)
Intra-articular injuries in which the articular surfaces of the tibiotalar and the subtalar joints are involved 손상기전은 talus과 tibial plafond와 calcaneus 사이의 축성 압력(axial compression)입니다.
흔하지는 않으나 합병증은 더 많습니다.

* Classification
Ⅰ : Transchondral dome fracture
Ⅱ : Shear fracture
Ⅲ : Posterior tubercle fracture
Ⅳ : Lateral process fracture
Ⅴ : Crush fracture

X-ray : 거골두 골절(Talus head fracture)
비전위 골절은 8주간 비체중 부하 단하지 석고를 적용합니다.
전위 골절은 관혈적 정복 및 내고정을 시행합니다.
치유과정에서 진통, 골 유합의 촉진을 위해 침 치료를 적용합니다(근위축 예방과 근육 운동시의 동통완화 효과를 목적으로 합니다).
- 거골두 골절(Talus head fracture)
거골 골절 중 흔하지 않은 골절입니다.
손상기전은 거골두의 직접적인 부하와 축성 압력과 anterior tibial plafond의 압박골절입니다.
Calcaenocuboid, subtalar joint의 손상이 흔히 동반됩니다.

- 거골 외측돌기 골절(Lateral talar process fracture , Snowboarder's fracture)
매우 드문 골절로 여겨져 왔지만 스노보드가 유행함에 따라 급증했습니다.
난치성 족관절 염좌로 오진단 될 수 있습니다.
손상기전은 axial loading, dorsiflexion, external rotation and eversion of foot입니다.

급성 증례는 석고 고정을 6주간 실시합니다.
끝부분 박리골절과 기저부 가로골절의 두 가지 형태가 있습니다.
진구성 증례에서는 전자는 절제, 후자는 고정술과 골 이식을 합니다.
치유과정에서 진통, 골 유합의 촉진을 위해 침 치료를 적용합니다(근위축 예방과 근육 운동시의 동통완화 효과를 목적으로 합니다).

**X-ray :**거골 외측돌기 골절(Lateral talar process fracture , Snowboarder's fracture)
Cf) Talar & Subtalar dislocation
대부분의 탈구는 fx와 연관이 있습니다. 골절 없이 발생한 것들은 Talonavicular joint의 동시 탈구를 포함해야 합니다.
대부분의 Subtalar dislocation은 쉽게 정복되고 만약 임상적으로 검출되면 정복해야 합니다.
Subluxation은 매우 미세하여 세심한 평가가 없다면 이들 전위는 종종 간과하게 됩니다.
참고문헌
- 정형외과 진료편람. 서울대학교 의과대학 정형외과학 교실. 2013
2. 쉽게 배우는 정형외과. Okada kyoji. 2014
-
일차진료의를 위한 정형외과 진단과 치료. 김지형. 2011
-
AAOS 핵심 정형외과학 4판. John F. Sarwark. 2013
-
임상의를 위한 통증의 영상진단과 치료. Steven D. Waldman. 2012
-
응급영상진단의 ABC. Otto Chan. 2010
-
스포츠 침구임상 매뉴얼. Matsumoto tadasu. 2007
-
발 클리닉(임상에서 바로 통하는 발 진료 노하우). Suguru inokuchi. 2011