발목 관절 탈구(Ankle dislocation) : 발목이 부러지면서 동시에 발목이 탈구됐어요

정의
관절면의 병렬이 소실될 정도로 강한 힘이 관절에 작용할 때 발생하고, 거의 대부분 골절을 동반합니다.
가장 흔한 형태는 뒤쪽 탈구인데, talus가 tibia보다 뒤쪽으로 탈구되는 것입니다.
이것은 tibiofibular ligament tear나 lateral malleolus fx을 동반합니다.

종류
-
내측 혹은 외측 탈구 : 주로 발목 골절(malleolus fx)과 연관
-
전방 혹은 후방 탈구 : 골절 없이 발생할 수도 있습니다.

임상증상
대개 손상 후 급성통증을 호소합니다.
발목 염좌와 비슷하나 더 심한 양상입니다.

이학적 검사
발목 탈구가 생기면 nerve & artery 손상을 항상 염두에 두고 검사해봐야 합니다.
영상 검사
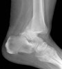
AP, lateral, Mortise view를 보면 대부분의 골절과 탈구가 진단됩니다.

X-ray : 발목 관절 탈구(Ankle dislocation)
X-ray : 발목 관절 탈구(Ankle dislocation)
치료
즉시 도수 정복을 시행합니다.
치료가 늦어지면 talus의 AVN이 일어날 수 있습니다.
참고문헌
- 정형외과 진료편람. 서울대학교 의과대학 정형외과학 교실. 2013
2. 쉽게 배우는 정형외과. Okada kyoji. 2014
-
일차진료의를 위한 정형외과 진단과 치료. 김지형. 2011
-
AAOS 핵심 정형외과학 4판. John F. Sarwark. 2013
-
임상의를 위한 통증의 영상진단과 치료. Steven D. Waldman. 2012
-
응급영상진단의 ABC. Otto Chan. 2010
-
스포츠 침구임상 매뉴얼. Matsumoto tadasu. 2007
-
발 클리닉(임상에서 바로 통하는 발 진료 노하우). Suguru inokuchi. 2011