종골 골절(Calcaneal fracture) : 높은 곳에서 낙상 후 발뒤꿈치가 퉁퉁 부었어요

정의
뒷발에 위치한 종골(calcaneus)의 골절입니다.
족근골 골절 중 가장 흔합니다(60% of all tarsal fractures).

손상기전
1. Intra-articular : fall from height(Lover’s fracture), 10~15%에서 척추골절과 연관
2. Extra-articular : twisting force, avulsion injury
임상증상
급성통증, 보행장애를 호소합니다.
이학적 검사
종창과 압통이 흔합니다.
골절 원위 부위의 천비골신경, 심비골신경, 경골신경, 내측 및 외측 족저신경 기능을 평가하도록 합니다.
종창이 심하면 혈관박동 촉진이 안 될 수 있으며, 발가락을 손으로 눌러서 모세혈관에 혈류가 잘 회복되는지 살펴봅니다.
구획증후군이 있는지 평가하기가 힘들지만, 아치 부위에 심한 종창이 있으면 발바닥 구획증후군을 시사합니다.
낙상 손상 시에는 요추 압박골절 또는 낙상 쪽 하지의 다른 손상이 동반될 수 있습니다.
영상 검사
1. X-ray
AP/Lateral/Axial, Broden’s view를 촬영합니다.
골절선이 잘 안보이는 경우 많습니다.
Bohler’s angle < 20° indicates fracture

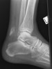
X-ray : Normal calcaneus(Lateral view)

X-ray : 종골 골절(Calcaneal fracture) - Lateral view
1. Flattening of Bohler's angle
2. Depression of the articular surface of the posterior subtalar joint (red line)
from its normal position (green line)
3. Fracture lines can be seen passing through the calcaneus

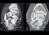
X-ray : Normal calcaneus(Axial view)

X-ray : 종골 골절(Calcaneal fracture)****- Axial view
On the axial view look for fracture lines and breaks in the cortex

X-ray : 종골 골절(Calcaneal fracture)****- Axial view
Loss of smooth cortical edge (yellow line)

X-ray : Lover’s fracture
X-ray : Calcaneal tuberosity avulsion fracture
2. CT

CT : 종골 골절(Calcaneal fracture)
치료
후방 거종 관절면의 회복이 중요합니다.
비전위 골절은 4~8주간 석고고정 또는 조기 관절 운동를 합니다.
전위 골절은 폐쇄성 정복 또는 수술적 정복 후 내고정을 시행합니다.
관절면 분쇄가 너무 심한 경우 관절 고정술로 고려 가능합니다.
치유과정에서 진통, 골 유합의 촉진을 위해 침 치료를 적용합니다(근위축 예방과 근육 운동시의 동통완화 효과를 목적으로 합니다).
Cf) Calcaneal anterior process fracture
Lateral talar process fracture, Cuboid compression fx와 함께 가장 염좌로 잘못알고 간과되기 쉬운 골절입니다.
Lateral ligament나 Bifurcate ligament의 rupture로 진단되어도, 3주 이상 진통과 종창이 계속되면 X-ray를 재촬영해 압통부위를 중심으로 fracture를 찾습니다.
Calcaneal anterior process는 내번으로 avulsion fx, 외번으로 talus와 충돌해서 compression fx를 발생시킵니다.
초기라면 3주 정도 석고 정하면 완치됩니다.
만성인 예에서는 외측 종아치를 잡아주는 폭이 넓은 단단한 아치받침을 처방하며 개선되지 않으면 골편을 제거합니다.

X-ray : Calcaneal anterior process fracture
Cf) 종골 피로골절(Calcaneal stress fracture)
발에 통증과 압통이 있습니다.
운동시 악화, 휴식시 경감됩니다.
X-ray상 정상일 경우에는 동위원소 CT나 MRI를 촬영해야 합니다.

X-ray : 종골 피로골절(Calcaneal stress fracture)

X-ray : Extensor digitorum brevis avulsion fracture
(Thin calcification adjacent to anterolateral calcaneus on oblique view)
참고문헌
- 정형외과 진료편람. 서울대학교 의과대학 정형외과학 교실. 2013
2. 쉽게 배우는 정형외과. Okada kyoji. 2014
-
일차진료의를 위한 정형외과 진단과 치료. 김지형. 2011
-
AAOS 핵심 정형외과학 4판. John F. Sarwark. 2013
-
임상의를 위한 통증의 영상진단과 치료. Steven D. Waldman. 2012
-
응급영상진단의 ABC. Otto Chan. 2010
-
스포츠 침구임상 매뉴얼. Matsumoto tadasu. 2007
-
발 클리닉(임상에서 바로 통하는 발 진료 노하우). Suguru inokuchi. 2011