발목 골절(Fracture of ankle) : 발목이 비틀리면서 발목 뼈가 부러졌어요

정의
안쪽 및 바깥쪽 복사뼈, 경골의 뒤쪽끝(후방 복사뼈), 바깥쪽 인대성 구조들, 그리고/또는 거골 돔부위의 손상들이 포함됩니다.
안정골절은 관절의 한쪽 면만 손상된 경우이며, 불안정골절은 발목의 양쪽이 다 손상된 경우입니다.
불안정골절 중 양과골절(bimalleolar fracture)은 안쪽, 바깥쪽 복사 모두 골절 혹은 비골 원위부 골절과 삼각인대 손상이 같이 있는 경우입니다.
삼과골절(trimalleolar fracture)은 뒤쪽 복사뼈 골절이 포함된 경우입니다. 발목의 뒤쪽탈구에서도 삼과골절이 동반될 수 있으며, 이런 경우를 '삼과골절-탈구'라고 합니다.
원인
상황에 따라 골절 원인이 다양하지만, 대개 돌림과 비틀림 손상이 원인입니다.
분류
1. Danis-Weber classification : Defined by location of the fracture line
1) Type A : below the tibiotalar joint
2) Type B : at the level of the tibiotalar joint
3) Type C : above the tibiotalar joint


Weber type A

Weber type B

Weber type C
2. Lauge-Hansen classficiation : Infrequently used, clinically / Mostly academic
임상증상
대개 손상 후 급성통증을 호소합니다.
발목 염좌와 비슷하나 더 심한 양상입니다.
이학적 검사
안쪽, 바깥쪽, 또는 뒤쪽에 종창이 동반됩니다.
촉진시 골절부위에 벌어진 틈을 느낄 수도 있습니다.
발이 경골로부터 외회전 혹은 바깥쪽 전위될 수도 있습니다.
외과골절과 함께 안쪽 삼각인대 압통 존재는 불안정 양과골절을 시사합니다.
안쪽 발목의 종창과 함께 근위쪽 비골에 압통이 있으면 Maisonneuve 골절을 시사합니다.
골절의 원위 부위의 혈액순환 상태, 말초신경 기능을 평가하도록 합니다.
골절 위로 피부손상이 있으면 개방골절을 의심하고 주의깊게 평가해야 합니다.
영상 검사
AP, lateral, Mortise view를 보면 대부분의 골절이 진단됩니다.
경미한 전위골절은 초기 X-ray에서는 잘 안 나타날 수 있으므로 가골(callus) 형성이 되는 10~14일에 다시 재검사하도록 합니다.
돌림손상 시에는 거골 바깥쪽 관절면의 골연골성 골절이 일어날 수 있습니다. Mortise view에서 가장 잘 나타나며 복합골절 평가 시에는 CT가 필요할 수 있습니다.

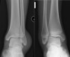
X-ray : 외과 골절(Lateral malleolar fracture)

X-ray : 내과 골절(Medial malleolar fracture)

X-ray : 후과 골절(Posterior malleolar fracture)

X-ray : 후과 골절(Posterior malleolar fracture)

X-ray : Malleolus tertius fracture

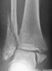
X-ray : 양과 골절(Bimalleolar fracture)

X-ray : 삼과 골절(Trimalleolar fracture)

X-ray : Triplane fracture
치료
안정골절은 비수술요법이 가능하지만 불안정골절은 전위와 손상 후 관절염이 올 수 있으므로 대개 수술이 필요합니다.
젊은 사람에서는 대개 경과가 아주 좋습니다.
노인 혹은 골절 후 3달 후에도 가동범위와 균형이 회복되지 않으면 재활훈련이 필요합니다.
- 보존적 치료 : 비전위 골절 혹은 1mm 미만의 안정적 전위골절
원위 비골의 안정골절은 4~6주간 석고부목이나 보조기로 고정합니다.
불안정골절이지만 전위가 없는 경우에는 석고부목 고정을 좀 더 오랜 기간 하도록 합니다.
전위가 있는 불안정골절은 비수술적이건 수술적이건 정복이 필요합니다.
치유과정에서 진통, 골 유합의 촉진을 위해 침 치료를 적용합니다(근위축 예방과 근육 운동시의 동통완화 효과를 목적으로 합니다).
- 수술적 치료 : 불안정 골절 및 개방골절
개방골절은 즉시 수술적 처치를 합니다.
탈골은 피부와 신경혈관 구조에 압박을 주므로 가능한 한 빨리 교정해야 합니다.
관절기능 회복은 대부분 수술적 정복시에 더 경과가 좋습니다.
거골의 뼈연골 파편은 제거해야 하며 파편이 크면 정복이나 핀을 박기도 합니다.
치유과정에서 진통, 골 유합의 촉진을 위해 침 치료를 적용합니다(근위축 예방과 근육 운동시의 동통완화 효과를 목적으로 합니다).
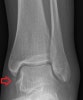
Cf) 외측 복사뼈 아래의 골편(Lateral malleolus bony fragment)
언젠가 외상으로 avulsion fx일 가능성이 크며, 그 때 떨어졌던 뼛조각이 붙지 않은 채 추후에 발견(실제로는 섬유성결합으로 결합)되었을 가능성이 높습니다.
보통 외측에서 발견되는 예가 흔하며, 내측에서는 드문편입니다.
통증을 일으키지 않는 경우도 많으며 골편에 의해 통증이 있다면 제거하는 것이 치료 방법입니다.
X-ray : 외측 복사뼈 아래의 골편(Lateral malleolus bony fragment)
Cf) Distal tibial platond fracture(=Pilon fracture)
족관절의 관절내 분쇄 골절입니다.
손상기전은 고에너지의 축상 부하와 저에너지의 회전력입니다.
동반된 거골 또는 종골 골절을 체크합니다,
치료가 어렵고 예후가 좋지 않습니다.

X-ray : 경골 원위 관절내 골절(Distal tibial platond fracture, Pilon fracture)
Cf) Pott’s fracture
A partial dislocation of the ankle, with fracture of the fibula within 6-7cm above the lateral malleolus and rupture of the distal tibiofibular ligament of the ankle


X-ray : Pott’s fracture
Cf) Maisonneuve fracture
흔하지 않은 골절입니다(Complex, unstable injury).
외상의 외회전 손상의 결과로 Distal tibiofibular syndesmosis disruption을 보입니다.
내과 골절, 내측 측부인대 손상, 근위부 비골 골절과 관련이 있습니다.

X-ray : Maisonneuve fracture

Dupuytren’s fracture

X-ray : Dupuytren’s fracture
참고문헌
- 정형외과 진료편람. 서울대학교 의과대학 정형외과학 교실. 2013
2. 쉽게 배우는 정형외과. Okada kyoji. 2014
-
일차진료의를 위한 정형외과 진단과 치료. 김지형. 2011
-
AAOS 핵심 정형외과학 4판. John F. Sarwark. 2013
-
임상의를 위한 통증의 영상진단과 치료. Steven D. Waldman. 2012
-
응급영상진단의 ABC. Otto Chan. 2010
-
스포츠 침구임상 매뉴얼. Matsumoto tadasu. 2007
-
발 클리닉(임상에서 바로 통하는 발 진료 노하우). Suguru inokuchi. 2011