슬개골 골절(Patellar fracture, Broken kneecap) : 앞으로 넘어지면서 무릎뼈가 부려졌어요

정의
슬개골 골절은 생각보다 흔하며 앞으로 넘어져 오는 경우가 많아 외부에 상처가 있기도 합니다.
분류
-
횡골절 : 직접 및 간접 손상 모두에서 가능하며, 신전 기전의 파열과 동반되는 경우가 흔합니다. 신전 기능의 회복을 위하여 수술적 치료가 필요할 수 있습니다.
-
종골절 : 직접 손상에 의한 경우가 흔하며, 과사용 손상에서도 드물게 발생합니다. 전위가 없거나 적은 경우 신전 기능에 이상이 없어 보존적 치료가 가능합니다.
-
내측연의 조각 골절 : 슬개골 탈구시 흔히 동반됩니다.

임상증상
손상 직후부터 통증과 종창이 생깁니다.
전위가 안 된 골절의 경우 하중이 가해지는 경우에만 얕은 부위 통증 정도만 있는 경우도 있습니다.
이학적 검사
손상 위치에서 통증, 종창, 타박, 열상 또는 찰과상이 관찰됩니다.
결손부위를 촉진 가능합니다.
무릎의 신전 능력을 평가합니다(완전 골절에서는 신전이 불가능하나 살짝 금만 간 경우 어느 정도 들 수 있다).
영상 검사
무릎의 AP & lateral X-ray를 시행하며, 수술준비를 해야 하는 경우는 oblique view, CT도 필요할 수 있습니다.
MRI는 전위가 안 된 골절확인에 도움이 됩니다.
먼 쪽 혈관박동이 소실된 경우에는 도플러 초음파 평가가 필요합니다.

X-ray : 슬개골 골절(Patellar fracture, Broken kneecap)

**CT :**슬개골 골절(Patellar fracture, Cortical disruption)

**CT :**슬개골 골절(Patellar fracture, Cortical disruption)

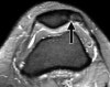
MRI : 슬개골 골절(Patellar fracture, Broken kneecap)

MRI : 슬개골 골절(Patellar fracture, Broken kneecap)
치료
많은 경우 수술적 치료가 필요합니다.
만일 전위가 2mm 이내이면서 자기 힘으로 중력에 반하여 신전할 수 있다면 비수술적 방법으로 석고 고정 등으로 치료할 수 있습니다(무릎 고정기를 이용해 2~4주간 고정하고 체중 부하를 허용할 수 있습니다).
수술 후에는 보편적으로 골절의 치유를 위하여 6주의 고정이 필요하며, 이 기간에 대퇴사두근 근력 운동이 시행되어야 합니다.
치유과정에서 진통, 골 유합의 촉진을 위해 침 치료를 적용합니다(근위축 예방과 근육 운동시의 동통완화 효과를 목적으로 합니다).
참고문헌
- 정형외과 진료편람. 서울대학교 의과대학 정형외과학 교실. 2013
2. 쉽게 배우는 정형외과. Okada kyoji. 2014
-
일차진료의를 위한 정형외과 진단과 치료. 김지형. 2011
-
AAOS 핵심 정형외과학 4판. John F. Sarwark. 2013
-
임상의를 위한 통증의 영상진단과 치료. Steven D. Waldman. 2012
-
응급영상진단의 ABC. Otto Chan. 2010
-
스포츠 침구임상 매뉴얼. Matsumoto tadasu. 2007