슬관절 탈구(Knee dislocation) : 매우 강한 외상으로 슬관절 전체가 빠졌어요

정의
대부분은 Femur에 대한 Tibia의 전방전위입니다.
진성 무릎 탈구는 언제나 다발성인대 파열과 동반됩니다.
Popliteal a.와 Tibial n.의 신경 손상의 위험이 높습니다.

진단
혈관 상태에 대한 즉각적이고 지속적인 평가가 중요하며, 맥압이 떨어지거나 없어지는 등 혈액 공급에 문제가 있을 경우 혈관조영술을 즉시 시행합니다.
혈관 손상과 심한 인대 파열로 인한 관절 불안정성이 동반된 경우 인대 수술 전에 혈관 보호를 위하여 외고정 장치를 사용합니다.


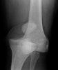
X-ray : 슬관절 탈구(Knee dislocation)
치료
매우 드물지만 빠른 정복이 필요하여 관절 안정성에 대한 평가가 이루어져야 합니다.
파열된 인대의 조기 재건이 좋은 임상 결과과를 위해 필요합니다.
일상생활로의 복귀는 가능하나, high-level activitiy가 가능한 경우는 드뭅니다.

참고문헌
- 정형외과 진료편람. 서울대학교 의과대학 정형외과학 교실. 2013
2. 쉽게 배우는 정형외과. Okada kyoji. 2014
-
일차진료의를 위한 정형외과 진단과 치료. 김지형. 2011
-
AAOS 핵심 정형외과학 4판. John F. Sarwark. 2013