팔꿈치 내측측부인대 파열(Ulnar collateral ligament tear) : 머리 위로 공을 던지는 동작을 반복적으로 한 뒤 팔꿈치가 불안정해졌어요


정의
내측측부인대는 팔꿈치에서 외반 스트레스를 이기는 일차적 구조물입니다.
이 인대의 손상은 비교적 흔하지는 않으며, 일반적의 경우 드물게 불안정과 장애를 가지고 그대로 생활하기도 합니다.
머리 위로 공을 던지는 운동선수(젊은 연령일수록 발생빈도가 높으며 특히 고등학생)에서는 반복적인 외반 스트레스가 가해지게 되어 인대손상이 생기고 불안정과 장애를 유발하며 치료가 필요합니다.

임상증상
급성으로 발병될 수도 있으며 '퍽'하는 소리가 나면서 안쪽 팔꿈치 통증이 따릅니다.
공을 던지는 운동경기시 지속적 통증(점진적인 안쪽 주관절 통증)과 장애가 가장 흔하며 드물게 일상생활만으로도 불편감이 발생합니다.
던지기 동작시 척골신경 분포부위를 따라 오는 저림증도 흔합니다.
종창과 출혈반점은 경미합니다.

이학적 검사
내측측부인대에 대개 압통이 있으면 신전을 끝까지 힘든 경우도 있습니다.
Valgus stress test시 관절이 열리지는 않지만 인대 부위에 통증이 유발됩니다.
Moving Valgus stress(외반 동작 스트레스 검사)시에는 팔꿈치가 완전히 굴곡/신전 되게 하면서 외반 스트레스를 가할 때 주관절이 70~120도 사이 굴곡 위치에서 안쪽 팔꿈치에 심한 통증이 유발되면 양성입니다.
Milking test시 팔꿈관절은 90도 굴곡, 아래팔은 회외 상태에서 환자의 엄지를 당겨 valgus stress를 가하여 통증이 유발되면 양성입니다.
척골신경에 압통, tinel sign도 나타날 수 있어서 척골신경염으로 진단되기도 합니다.

영상 검사
골절 감별을 위해 AP, lateral view가 필요합니다.
만성적인 경우 인대에 골화가 보이기도 합니다.
후내측 주두 골극, 유리체, 경계부 골극 역시 만성적인 경우에서 나타날 수 있습니다.
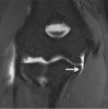
인대의 병리적 상태 진단을 위해 MRI 관절조영술이 도움이 됩니다.

MRI : 팔꿈치 내측측부인대 파열(Ulnar collateral ligament tear)

MRI : 팔꿈치 내측측부인대 파열(Ulnar collateral ligament tear)
치료
침 치료를 비롯하여 비수술적 치료(안정, 재활, 신장과 근력강화, 활동제한)를 우선으로 합니다.
운동선수의 경우는 서두르지 말고 아주 서서히 운동에 복구하도록 해야 합니다.
통증개선이 주 치료목표인 경우에도 비수술적 치료가 우선입니다.
운동선수에서 3개월 동안의 비수술적 치료로 호전되지 않으면 수술(소위 Tommy john)을 고려해야 합니다.
수술 후 재활의 중요성과 경기복귀에 12개월 정도의 장시간이 소요됨을 잘 교육시켜야 합니다.

참고문헌
- 정형외과 진료편람. 서울대학교 의과대학 정형외과학 교실. 2013
2. 쉽게 배우는 정형외과. Okada kyoji. 2014
-
일차진료의를 위한 정형외과 진단과 치료. 김지형. 2011
-
AAOS 핵심 정형외과학 4판. John F. Sarwark. 2013
-
임상의를 위한 통증의 영상진단과 치료. Steven D. Waldman. 2012
-
응급영상진단의 ABC. Otto Chan. 2010
-
스포츠 침구임상 매뉴얼. Matsumoto tadasu. 2007