과간 골절(Intercondylar fracture) : 교통 사고가 난 뒤 과간 부위가 부러졌어요

정의
가장 복잡하고 치료가 어려운 골절이며 성인의 상완골 원위부 골절 중 가장 흔한 형태입니다.
골편의 크기가 작고, 관절 연골을 포함합니다.
고정물이 위치할 공간이 부족하고 골다공증이 있는 노인 환자가 주로 많습니다.

손상기전
1. 척골 근위부의 주두가 상완골 활차의 관절면에 직접적으로 작용하여 양과 사이의 골절이 발생합니다.
2. 대부분 교통 사고와 같은 큰 외력에 의해 척골 근위부의 직접적 힘이 작용하여 발생합니다.
3. 주관절을 절반 정도 굴곡한 상태에서 넘어지면서 발생합니다.
4. 과도한 힘에 의해 발생한 경우 주위 연부 조직의 동반된 손상에 주의, 때로는 개방성 골절이 발생합니다.
분류
방사선 소견으로 분류한 'Riseborough and Radin classification입니다.
- 제 1형 : 소두와 활차 사이의 비전위 골절
2. 제 2형 : 소두와 활차 사이의 전위는 있지만 골편의 회전이 없는 골절
3. 제 3형 : 회전 변형이 동반된 분리된 골절
4. 제 4형 : 관절면의 심한 분쇄가 있는 골절로 상완과의 분리가 동반된 경우

임상증상
심한 종창, 출혈반점, 기형, 통증이 흔한 증상입니다.
주관절 굴곡시 통증 악화를 호소합니다.
이학적 검사
상완골 간부에서 양과가 분리되고 척골이 근위부로 이동하게 되므로 손상측 상지의 길이가 짧아집니다.
전완부와 수부의 신경, 혈관 손상 여부를 파악하여 기술하는 것이 중요하며, 골편의 전이가 심할수록 신경, 혈관 손상의 발생률이 높습니다.
영상 검사
CT 촬영이 도움을 주기도 합니다.
전이가 없는 경우에는 단순한 과상부 골절과의 감별을 위해 수직(vertical) 골절의 유무를 확인해야 합니다.

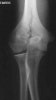
X-ray : 과간 골절(Intercondylar fracture)
치료
수술적 정복과 금속 고정술이 원칙으로 적용됩니다.
분쇄가 심하고 고정이 불가능한 노인 환자에서는 인공 관절 치환술이 고려됩니다.
조기 관절 운동으로 관절의 섬유화 또는 강직 방지가 필수입니다.
치유과정에서 진통, 골 유합의 촉진을 위해 침 치료를 적용합니다(근위축 예방과 근육 운동시의 동통완화 효과를 목적으로 합니다).
최종 방사선 소견이 기능적 결과와 항시 일치되지 않으므로 방사선 소견보다는 기능적 측면을 중시해야 해야합니다.
참고문헌
- 정형외과 진료편람. 서울대학교 의과대학 정형외과학 교실. 2013
2. 쉽게 배우는 정형외과. Okada kyoji. 2014
-
일차진료의를 위한 정형외과 진단과 치료. 김지형. 2011
-
AAOS 핵심 정형외과학 4판. John F. Sarwark. 2013
-
임상의를 위한 통증의 영상진단과 치료. Steven D. Waldman. 2012
-
응급영상진단의 ABC. Otto Chan. 2010
-
스포츠 침구임상 매뉴얼. Matsumoto tadasu. 2007