경과 골절(Transcondylar fracture) : 넘어질 때 팔을 펴고 손을 짚으면서 경과 부위가 부러졌어요
정의
상과 부위에서 발생하여 주두와(olecranon fossa)에 이르는 골절입니다.
대개 골다공증이 있는 노인 연령에서 발생합니다.
임상 양상
손상 기전이나 치료 원칙은 과상부 골절과 동일하나 골절이 관절낭 내에 위치하므로 과다한 가골 형성은 운동 범위의 제한을 초래합니다.

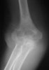
X-ray : 경과 골절(Transcondylar fracture)
치료
원위 골편이 작기 때문에 고정이 어렵습니다. 완전한 정복이 되어도 유합이 일어나는 골 면적이 적습니다.
매우 불안정한 골절로 보존적인 방법으로는 유합에 상당한 시간이 걸리므로 골유합이 늦어져 주관절 기능 장애를 초래합니다.
따라서 조기 관절 운동을 시킬 수 있는 적극적인 수술 방법으로 치료합니다.
치유과정에서 진통, 골 유합의 촉진을 위해 침 치료를 적용합니다(근위축 예방과 근육 운동시의 동통완화 효과를 목적으로 합니다).
참고문헌
- 정형외과 진료편람. 서울대학교 의과대학 정형외과학 교실. 2013
2. 쉽게 배우는 정형외과. Okada kyoji. 2014
-
일차진료의를 위한 정형외과 진단과 치료. 김지형. 2011
-
AAOS 핵심 정형외과학 4판. John F. Sarwark. 2013
-
임상의를 위한 통증의 영상진단과 치료. Steven D. Waldman. 2012
-
응급영상진단의 ABC. Otto Chan. 2010
-
스포츠 침구임상 매뉴얼. Matsumoto tadasu. 2007