신전건 손상(Extensor tendon injury) : 날카로운 것에 손등을 베었어요
정의
신전건은 손등의 천층에 위치하여 굴곡건보다 많은 빈도로 손상을 입으며, 열상 및 개방성 창성에 의한 파열 뿐 아니라 비개방성으로도 흔히 발생합니다.
비개방성 파열의 원인으로는 타박상, 견열 골절에 의한 파열, 원위 요골 골절의 후유증, 건의 염증성 질환이나 류마티스 관절염 등이 있습니다.
분류
-
1구역 : 원위 지절(DIP joint)의 배측부
-
2구역 : 중간 지골(Middle phalanx)의 배측
-
3구역 : 근위 지절(PIP joint)의 배측
-
4구역 : 근위 지골(Proximal phalanx)의 배측
-
5구역 : 중수 수지관절(MCP joint)
-
6구역 : 중수골(Metacarpal bone)
-
7구역 : 손목 배측의 신전지대(extensor retinaculum) 부분
-
8구역 : 신전지대 근위부

cf) 망치 손가락(추지 변형, Mallet finger, Baseball finger)

1구역의 손상으로 매우 흔한 손상입니다.
DIP joint의 급작스런 수축으로 수지 신전근 파열(tendinous mallet)이나 견열 골절(bony mallet)이 생기게 됩니다.
생각보다 통증은 거의 없는 편이나 약간의 통증, 압통이 있을 수 있고, 급은 형태상의 문제로 내원하는 경우도 많습니다.
통증이 적기 때문에 초기에 치료를 받지 않아 장기간 방치한 예도 간혹 보게 됩니다.
방치된 상태로 진구성이 되면 Swan neck deformity가 됩니다.


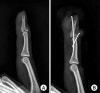
X-ray : 골성 추지(bony mallet)
치료
골성 추지(bony mallet finger) : 뼈조각의 크기가 관절면의 1/3 이상이거나 탈구가 있으면 수술적 치료가 필요합니다,
건성 추지(tendinous mallet finger) : 신전 깁스를 시행합니다(약 8주간 고정). 고정시 중간에 몰래 빼거나 하면 그 이후 재활치료에 어려움이 생길 수 있습니다.

cf) 단추 구멍 변형(Boutonniere deformity)
3, 4 구역의 손상으로 Extensor tendon이 middle pharynx에 붙는 위치에서 파열되어 발생하는 기형입니다.
외상병력이 있으며 최근에 손상을 받은 경우에는 통증과 압통이 있습니다.
초기에는 기형이 불확실하지만 7~21일 사이에는 명확하게 보입니다.

치료
젊은 사람과 노인에서 각각 6주, 3주간 PIP joint를 extension 상태로 보조기를 합니다.
DIP joint는 고정하지 않으며, AROM, PROM 운동을 합니다.
손상 후 1~2주가 경과된 뒤에 내원한 경우는 dynamic extension splint를 해준 후, static extension splint로 바꾸어 줍니다.
보조기로 기형이 좋아지지 않으면 수술을 고려합니다.
이학적 검사
해당 수지의 신전 운동 제한을 관찰합니다.
영상 검사
견열 골절(avulsion fx)를 제외하기 위해 손가락 X-ray를 촬영합니다.
치료
손가락 건이 저항 신전 운동이 가능하고 절단이 50%라면 보존적 치료를 적용합니다(6~8주 고정 후 운동요법).
치유 과정에서 진통, 근위축 예방, 운동시 동통의 완화를 위해 침 치료가 많은 도움이 됩니다.
손가락 건의 절단이 50% 이상이라면 수술적 치료를 시행합니다.
견열 골절이 동반된 증례에도 수술적 치료를 시행합니다.
참고문헌
- 정형외과 진료편람. 서울대학교 의과대학 정형외과학 교실. 2013
2. 쉽게 배우는 정형외과. Okada kyoji. 2014
-
일차진료의를 위한 정형외과 진단과 치료. 김지형. 2011
-
AAOS 핵심 정형외과학 4판. John F. Sarwark. 2013
-
스포츠 침구임상 매뉴얼. Matsumoto tadasu. 2007