내연골종(Enchondroma) : 손에 발생하는 양성 골 종양 중 가장 흔한 종양

정의
주로 골의 중심부인 골수강 안에 연골이 생기는 종양으로 그 원인은 알려지지 않았습니다.
성숙한 유리질 연골로 구성된 양성종양으로 주로 골의 중심부에 발생하고 있어 내연골종이라고 하며 단일성과 다발성이 있습니다.
단일성은 양성 골종양의 12%, 모든 골 종양의 2.8% 정도를 차지하고, 발생 연령은 50대까지는 비교적 균등하게 발생하지만 10세 미만에서는 드물게 발생합니다.
다발성으로 나타나는 것은 내연골종증이라고 하는데, 여기에 혈관 종양을 동반한 경우에는 마푸치증후군(Maffucci syndrome)이라고 합니다.
임상증상
신체의 다른 부위보다 수지골과 족지골에 호발하며, 골의 내부에서 연골을 형성하여 피지골을 밖으로 팽창시키며, 피질골을 뚫고 나오는 경우도 있습니다.
따라서 사소한 외력에 의한 병적 골절을 흔히 동반합니다.

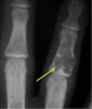
X-ray : 내연골종(Enchondroma)
치료
골절은 정상적으로 잘 치유되며, 골 소파술 및 자가 골이식술로 치료합니다.
참고문헌
- 정형외과 진료편람. 서울대학교 의과대학 정형외과학 교실. 2013
2. 쉽게 배우는 정형외과. Okada kyoji. 2014
- AAOS 핵심 정형외과학 4판. John F. Sarwark. 2013