골연골종(Osteochondroma) : 어린이 또는 청소년에서 손끝에 튀어나온 돌출이 보여요

정의
뼈나 연골에 생기는 양성 종양을 말합니다.
초, 중학생에게 많은 것으로 보아 선천적인 이상이라고 생각됩니다.
대부분 환자의 성장이 끝날 때와 동시에 성장이 끝납니다.
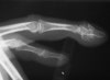
일반적으로 슬관절 주변에 많고, 손에는 골간단(metaphysis) 또는 원위 지골에 가장 흔하며 드물지만 수지골에 간혹 발생하기도 합니다.
연골모(catilaginous)와 원래의 골수강과 이어진 뼈의 돌출이 보입니다.
약 1%에서 악성화(이차성 연골육종)이 보입니다.

임상증상
종양을 촉지하거나 혹은 외상시에 영상 검사시 우연히 발견되는 경우가 많을 정도로 증상은 일반적으로 경미합니다.
종양이 점차 성장하면 운동시 동통을 느끼고, 종양 경부에 외상을 받아 골절을 초래하는 때도 있습니다.

진단
X-ray만으로도 쉽게 진단할 수 있습니다.

X-ray : 골연골종(Osteochondroma)
치료
크기나 작고 증상이 없으면 치료를 하지 않아도 됩니다.
통증, 수지변형 및 기계적인 주위 조직 압박 증상이 있으면 수술로 제거하게 됩니다.
참고문헌
- 정형외과 진료편람. 서울대학교 의과대학 정형외과학 교실. 2013
2. 쉽게 배우는 정형외과. Okada kyoji. 2014
- AAOS 핵심 정형외과학 4판. John F. Sarwark. 2013