요골두 골절(Radial head fracture) : 땅에 손을 짚고 넘어진 뒤 팔을 움직일 수 없어요

정의
성인에서 비교적 흔한 골절입니다.
전체 주관절 골절 중에서 요골두 및 요골경 골절이 차지하는 비율이 50%에 달합니다.
손상기전
손을 신전 상태에서 손을 짚고 넘어지면서 직접적인 축성 부하나 외반력에 의해 요골두와 소두와 충돌하여 골절이 발생합니다.
내측 측부인대, 구상돌기 골절, 주관절 후방 탈구, Essex-Lopresti 병변 등과 동반 가능합니다.

분류(Mason)
-
Type 1 : 비전위 골절
-
Type 2 : 전위 골절
-
Type 3 : 분쇄 골절
-
Type 4 : 주관절 후방 탈구가 동반된 경우(Johnston 추가)

임상증상
주관절을 펴고 굽히기 힘들어 하는데, 그 외 별다른 통증은 적습니다.
통증은 요골두 골절 자체의 통증도 있지만 혈관절에 의해 주관절낭 내부에 피가 차 생기는 통증이 주된 것으로 느낍니다.
이학적 검사
요골두에 국한된 압통이 있습니다.
관절 삼출액도 종종 촉진됩니다.
수동적 전완 돌림 제한이 있으며 잡음이 청진될 수 있습니다.

영상 검사
보통 AP, lateral, both oblique 즉 4장의 사진을 모두 찍어야 미세한 골절을 찾아내기 수월합니다.
필요시 요골두-소두 촬영을 실시합니다.
완관절 부위에 통증이 있는 경우 원위 요척관절(DRUJ) 손상 확인이 필요합니다.
잘 보이지 않는 유리체나 골편, 동반된 골절 등의 확인에 CT가 도움을 줍니다.


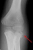
X-ray : 요골두 골절(Radial head fracture)

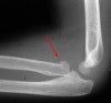
X-ray : 요골두 골절(Radial head fracture)와 동반된 proximal ulnar fracture

X-ray : 요골경 골절(Radial neck fracture, 요골두 골절과 마찬가지로 팔을 쭉 펴고 낙상시 발생)
치료
많은 요골두 골절과 요골 경부 골절은 비수술적 요법으로 치료가 됩니다.
관절면의 1/3 이상을 침범한 경우나 30도 이상 각형성을 한 경우, 천자 후에도 외회전, 내회전에 제한이 있을 때 수술을 고려하게 됩니다.
관절 속에 유리체(loose body)가 있다면 절대적인 수술 적응 대상입니다.
관절 천자가 잘 되면 그것만으로도 통증은 급격하게 경감됩니다.
관절 천자 후 통증이 좀 줄어든 상태에서 관절 운동에 제한이 없다면 수술하지 않는 쪽으로 기울 수 있습니다.
수술을 하지 않는 경우 2~3주 팔걸이를 하게 되면 통증이 소멸되는 경우도 많습니다.
3~4주 정도 지나면 차츰 움직임이 허용됩니다.
참고문헌
- 정형외과 진료편람. 서울대학교 의과대학 정형외과학 교실. 2013
2. 쉽게 배우는 정형외과. Okada kyoji. 2014
-
일차진료의를 위한 정형외과 진단과 치료. 김지형. 2011
-
AAOS 핵심 정형외과학 4판. John F. Sarwark. 2013
-
임상의를 위한 통증의 영상진단과 치료. Steven D. Waldman. 2012
-
응급영상진단의 ABC. Otto Chan. 2010
-
스포츠 침구임상 매뉴얼. Matsumoto tadasu. 2007