외과 골절(Lateral condyle fracture) : 넘어질 때 손을 짚으면서 외과(lateral condyle)이 부러졌어요

정의
성인에서는 상완골 원위부 골절의 5% 이하를 차지합니다.
소아에서는 과상골 골절(supracondylar fracture) 다음으로 흔히 발생하는 골절입니다.

분류
- Milch 분류
치료를 하기 전 또는 불유합이 발생하였을 때 주관절의 안정성에서 차이를 확인하나 치료 방침을 정하는데 도움을 주지 않습니다.
- Jacob 분류(골절편의 전위 정도에 따라서 분류)
-
Stage 1 : 전위되지 않은 부분 골절이며 관절면은 정상입니다.
-
Stage 2 : 골절선이 관절면까지 완전히 연결된 완전 골절이고 소두는 외측으로 전위돌 수 있으나 회전되지 않습니다.
-
Stage 3 : 완전히 전위되어서 관절 밖으로 회전 변형된 것이며 소두와 근위부 요골의 정상 관계가 완전히 상실됩니다.

임상증상
심한 종창, 출혈반점, 기형, 통증이 흔한 증상입니다.
주관절 굴곡시 통증 악화를 호소합니다.
이학적 검사
전위가 되면 종창과 기형이 잘 보입니다.
동반된 내측 또는 외측 측부인대의 손상 여부를 반드시 확인해야 합니다.
영상 검사
AP, lateral 그리고 환자에 따라 추가 검사로 진단이 가능합니다.
골절 정도의 정확한 평가를 위해 CT가 필요한 경우도 있습니다.

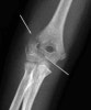
X-ray : 외과 골절(Lateral condyle fracture)
치료
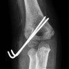
전위 골절인 경우 수술적 치료 후 조기 관절 운동 시행이 일반적 치료 원칙입니다.
치유과정에서 진통, 골 유합의 촉진을 위해 침 치료를 적용합니다(근위축 예방과 근육 운동시의 동통완화 효과를 목적으로 합니다).

소아 골절의 치료는 다음과 같습니다.
-
Stage 1 : 고정만으로 치료 가능하나 이후 전위 여부를 계속 확인합니다.
-
Stage 2 : 도수적 정복 및 경피적 핀 고정술을 시행합니다. 관절면을 완전히 정복해야 합니다.
-
Stage 3 : 개방하여야만 정확한 정복이 가능합니다.
참고문헌
- 정형외과 진료편람. 서울대학교 의과대학 정형외과학 교실. 2013
2. 쉽게 배우는 정형외과. Okada kyoji. 2014
-
일차진료의를 위한 정형외과 진단과 치료. 김지형. 2011
-
AAOS 핵심 정형외과학 4판. John F. Sarwark. 2013
-
임상의를 위한 통증의 영상진단과 치료. Steven D. Waldman. 2012
-
응급영상진단의 ABC. Otto Chan. 2010
-
스포츠 침구임상 매뉴얼. Matsumoto tadasu. 2007