상과 골절(Fractures of the epicondyles) : 손을 짚고 넘어지면서 상과(epicondyle)가 부러졌어요
- 내상과 골절(medial epicondyle fracture)
정의
외상과 골절(lateral epicondyle fracture)보다 흔하지만 단독발생은 드물고 주로 탈구와 동반됩니다.
골화 중심은 15~19세가 지나야 유합기 되기 때문에 주로 소아나 청소년 층에서 많이 발생합니다.
손상기전
대개 손을 짚고 넘어지면서 발생합니다(전완부 굴곡근의 갑작스런 수축이나 주관절 후방 탈구시 내측 측부 인대에 의해 발생하는 견인력).
이학적 검사
주관절 및 완관절의 능동적 굴곡시 통증이 증가합니다.
척골 신경 증상 동반 여부의 확인이 필요합니다.
영상 검사
정상 골단판과의 감별이 중요합니다(정상측과의 사진 비교가 도움이 됩니다).
주관절 탈구시 관절내의 골편의 유무를 확인합니다.

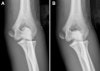
X-ray : 내상과 골절(medial epicondyle fracture), stable

X-ray : 내상과 골절(medial epicondyle fracture), unstable
치료
전위가 작은 경우 주관절 및 완관절을 굴곡시키고 전완부를 회내전시키고 7~10일간 고정합니다.
1cm 이상 전위되거나, 주관절의 외반 불안정성을 보이는 경우, 관절 내에서 골편이 감입되는 경우, 척골 신경 압박 증세를 보이는 경우에는 수술적 치료를 적용합니다.
치유과정에서 진통, 골 유합의 촉진을 위해 침 치료를 적용합니다(근위축 예방과 근육 운동시의 동통완화 효과를 목적으로 합니다).

- 외상과 골절(lateral epicondyle fracture)
성인에서는 드물고 통증이 완화될 때까지 짧은 기간 고정 후 조기에 관절 운동을 하는 것이 치료입니다.
치유과정에서 진통, 골 유합의 촉진을 위해 침 치료를 적용합니다(근위축 예방과 근육 운동시의 동통완화 효과를 목적으로 합니다).
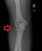
X-ray : 외상과 골절(lateral epicondyle avulsion fracture)
참고문헌
- 정형외과 진료편람. 서울대학교 의과대학 정형외과학 교실. 2013
2. 쉽게 배우는 정형외과. Okada kyoji. 2014
-
일차진료의를 위한 정형외과 진단과 치료. 김지형. 2011
-
AAOS 핵심 정형외과학 4판. John F. Sarwark. 2013
-
임상의를 위한 통증의 영상진단과 치료. Steven D. Waldman. 2012
-
응급영상진단의 ABC. Otto Chan. 2010
-
스포츠 침구임상 매뉴얼. Matsumoto tadasu. 2007