전완부 골간막 손상(Essex-Lopresti injury) : 강하게 땅에 손을 짚으면서 큰 충격을 받았어요

정의
손목, 전완부, 주관절을 관통하는 강력한 외상입니다.
요골두의 골절(Radial head fracture), 삼각섬유연골복합제의 손상(TFCC injury), 골간막 파열(Interosseous membrane rupture)의 불행 삼주징(unhappy triad)입니다.

이학적 검사
손목 척측에 압통이 있고, 전완부에 골절 없이 압통과 반상 출혈이 관찰됩니다.
주관절 부위에은 압통과 반상 출혈이 발견됩니다.
영상 검사
정상측과의 사진 비교가 필수입니다.
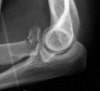
요골두의 분쇄 골절이 관찰됩니다.
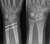
손목에서 상당한 척골 양성 변이(positive ulnar variance)가 관찰됩니다(7mm 이상의 척골 양성 변이 : 골간막의 완전 파열과 요골의 근위 전위를 의미).
초음파와 MRI는 골간막의 완전 파열에 임상적으로 도움이 됩니다.


X-ray : 전완부 골간막 손상(Essex-Lopresti injury)
치료
골간막은 생리적 치유 능력이 거의 없습니다.
수술적 치료방법으로 요골길이의 재건 및 원위요척관절(DRUJ)의 안정성 회복을 도모합니다.
치유과정에서 진통, 골 유합의 촉진을 위해 침 치료를 적용합니다(근위축 예방과 근육 운동시의 동통완화 효과를 목적으로 합니다).


원위 요척관절과 요골두 수술후 3~5일간 장 상지 석고 부목(long arm splint)으로 안정합니다.
이후 removable splint로 주관절의 가벼운 능동적 혹은 수동적 운동을 시작합니다.
가벼운 저항성 능동성 운동은 수술 후 8주에 시작하고 6개월까지 모든 활동을 허용합니다.
참고문헌
- 정형외과 진료편람. 서울대학교 의과대학 정형외과학 교실. 2013
2. 쉽게 배우는 정형외과. Okada kyoji. 2014
-
일차진료의를 위한 정형외과 진단과 치료. 김지형. 2011
-
AAOS 핵심 정형외과학 4판. John F. Sarwark. 2013
-
임상의를 위한 통증의 영상진단과 치료. Steven D. Waldman. 2012
-
응급영상진단의 ABC. Otto Chan. 2010
-
스포츠 침구임상 매뉴얼. Matsumoto tadasu. 2007