구상돌기 골절(Coronoid process fracture) : 스키를 타다가 넘어진 뒤 구상돌기(coronoid)가 부러졌어요

정의
구상돌기(coronoid process)에 발생하는 드문 골절입니다.
단독 손상은 드물며, 후외측 회전 손상(주관절 탈구와 요골두 골절과 동반되어 발생)이 가장 흔합니다.
내반 후내측 회전 손상에서는 외측 측부인대 파열과 전내측 구상돌기 골절이 동반되어 발생합니다.
상완근(brachialis)에 의한 견열 골절(avulsion fx)이 아니라 활차에 대한 충격이 원인입니다.
분류
주관절 탈구 존재에 따라 A형(탈구가 없을 때), B형(탈구가 있을 때)로 나눕니다.
-
Type 1 : 골단 부위 골절
-
Type 2 : 50% 이하를 침범하는 골절
-
Type 3 : 그 이상을 침범하는 골절

임상 증상 및 진단
골절 부위에 동통 및 종창이 일어납니다.
주관절의 후방 탈구와 많이 동반됩니다.
Antecubital fossa에 압통이 있습니다.

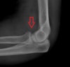
X-ray : 구상돌기 골절(Coronoid process fracture)
치료
크기가 작은 경우는 대개 보존적으로 치료합니다.
주관절이 불안정하고 요골두 골절 동반시 수술적 방법으로 치료합니다.
치유과정에서 진통, 골 유합의 촉진을 위해 침 치료를 적용합니다(근위축 예방과 근육 운동시의 동통완화 효과를 목적으로 합니다).
참고문헌
- 정형외과 진료편람. 서울대학교 의과대학 정형외과학 교실. 2013
2. 쉽게 배우는 정형외과. Okada kyoji. 2014
-
응급영상진단의 ABC. Otto Chan. 2010
-
스포츠 침구임상 매뉴얼. Matsumoto tadasu. 2007