소두 골절(Capitellum fracture) : 팔을 짚고 넘어진 뒤 소두(capitellum)이 부러졌어요

정의
소두(capitellum)에 생긴 골절을 말합니다.
비교적 드문 골절로 주관절 주위 골절 1% 이하를 차지합니다.
관절 내 골절로 연부 조직의 부착이 없기 때문에 심한 전위가 가능합니다.
30%에서는 proximal radial fracture가 동반됩니다.
손상기전
상완골의 종축에 대해 30º 정도 전방, 원위부로 각형성을 하고 있는 소두에 요골두(radial head)를 통해 전달된 충격에 의한 전단력
-
Type 1 골절은 신전 상태에서 요골로부터 상완골로 흐르는 힘이 작용될 때 또는 굴곡시 직접 외측 가격으로 발생합니다.
-
Type 2 골절은 약간 굴곡 상태에서 전단력 발생시 발생합니다.
분류
-
Type 1(Hahn-Steinthal 형) : 가장 흔하며 소두에 관상면으로 가해진 전단력에 의해 해면골을 포함하여 소두 거의 전체에 발생한 골절이며 활차의 일부분을 포함합니다.
-
Type 2(Kocher-Lorenz 형) : 연골하 해면골을 거의 포함하지 않고 소두의 연골 부분만 껍질 벗겨지듯이 손상한 경우입니다.
-
Type 3 : 분쇄가 있거나 함몰이 있는 경우입니다.
-
Type 4 : 상완골 원위부의 관상면에 대해 작용한 전단력에 의한 소두와 활차의 동반 골절입니다.

Bryan and Morrey classification
임상증상
골절부위에 관절 운동에 따른 동통과 종창(혈관절증)이 일어납니다.
골편의 전방 전위시 주관절 굴곡시 장애를 유발합니다.
후방 전위시 굴곡 장애는 없으나 관절막에 미치는 힘에 의해 통증이 유발됩니다.
회외전과 회내전은 특징적으로 제한이 없습니다.
이학적 검사
전방부에서 골편 촉지 및 염발음이 발생 가능합니다.
내측에 종창과 압통이 있으면 동반된 내측 측부 인대 손상을 의심해야 합니다.
영상 검사
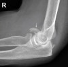
Lateral view 사진에서 골편을 확인합니다.
대부분의 골편은 소두의 본체에서 전방 및 근위부에 위치합니다.
골편이 작은 Type 2는 진단이 어렵습니다.

X-ray : 소두 골절(Capitellum fracture)
치료
대개는 수술적으로 치료해야 합니다.
치유과정에서 진통, 골 유합의 촉진을 위해 침 치료를 적용합니다(근위축 예방과 근육 운동시의 동통완화 효과를 목적으로 합니다).
수술 후 조기에 능동적 관절 운동을 실시하여야 하지만 관절에 부하가 가해지는 운동(특히 회외전)은 금지합니다.

합병증
관절 운동이 제한되는 경우가 흔합니다.
소두의 무혈성괴사(AVN) : 드물게 보고되며, 발생되어도 기능 제한의 빈도는 적습니다.
참고문헌
- 정형외과 진료편람. 서울대학교 의과대학 정형외과학 교실. 2013
2. 쉽게 배우는 정형외과. Okada kyoji. 2014
-
일차진료의를 위한 정형외과 진단과 치료. 김지형. 2011
-
AAOS 핵심 정형외과학 4판. John F. Sarwark. 2013
-
임상의를 위한 통증의 영상진단과 치료. Steven D. Waldman. 2012
-
응급영상진단의 ABC. Otto Chan. 2010
-
스포츠 침구임상 매뉴얼. Matsumoto tadasu. 2007