정강이 피로골절(Stress fracture) : 지속적으로 무리한 운동 뒤에 정강이가 아파요

정의
미세손상, 축적된 과부하에 의해 머리카락 같은 골절(hairline fracture)이나 현미경적 골절이 생기는 것을 말합니다.
과다한 트레이닝, 잘못된 생체역학, 피로, 호르몬 불균형, 영양불량, 골다공증 등의 다양한 요인이 기여합니다.
운동 강도가 급격히 증가될 때 잘 생깁니다.

임상증상
통증은 초기에는 운동 시에만 느끼다가 나중에는 보행시, 심지어는 야간이나 안정시에도 통증이 옵니다.
환자들은 대개 경골와 비골에서 아주 극심한 통증부위를 지적합니다.
피로골절로 통증이 오면 대부분 무리되는 신체활동을 하지 않게 되므로 더 이상의 손상은 진행되지는 않습니다.
하지만 일부 환자에서 신체활동을 계속하여 전위 골절(displaced fracture)이 생기게 되는 경우가 있습니다.

이학적 검사
경골 앞쪽 골절 시에는 앞쪽 경골능선의 피하에 압통이 있으며, 경골 뒤쪽 안쪽 골절 시에는 뒤쪽 경계부에 압통이 있습니다.
내반, 외반, 앞쪽, 뒤쪽 스트레스를 가하면 통증을 느낍니다.
증상 발현 6주 이상이 지나면 가골(callus)로 인한 종창이 만져지기도 합니다.
영상 검사
경골(Tibia)의 AP, lateral view 촬영을 합니다.
손상 후 3주는 지나야 X-ray에서 병변이 나타납니다.
통증이 심하지 않은 경우는 심한 일상생활활동을 제한시키면서 3~4주 후에 X-ray 검사를 다시 합니다.

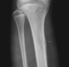
X-ray : Tibial stress fracture
MRI로도 확진이 가능하지만 가음성으로 나올 수도 있습니다.
영상의학적 소견은 반드시 '통증과 압통이 있는 부위 검진'의 임상소견과 같이 고려해야 합니다.
다리에 반복적인 스트레스가 가해지는 신체활동을 하는 운동선수의 경우 종종 증상이 없는 부위에서도 음영증가 소견이 나올 수 있습니다.


MRI : Tibial stress fracture
치료
조기 진단이 된 경우는 대부분 일정기간 안정으로 호전이 됩니다.
경미한 통증은 활동 조정만으로도 좋아집니다.
중동도 통증의 경우는 보조기 착용이 도움이 됩니다.
보행만으로도 통증이 있는 심한 경우에는 석고붕대나 스프린트를 하고 체중부하가 안 되도록 합니다.
진통, 종창의 경감 및 순환개선을 위한 회복을 촉진시킬 목적으로 압통, 종창 부위에 침치료를 적용할 수 있습니다.
대퇴 및 하퇴의 근육 긴장이 있으면 긴장완화 목적으로 침치료를 시행합니다.
드물지만 침 치료를 비롯한 보존적 치료에 실패하는 경우는 수술적 치료를 고려합니다.
참고문헌
- 정형외과 진료편람. 서울대학교 의과대학 정형외과학 교실. 2013
2. 쉽게 배우는 정형외과. Okada kyoji. 2014
-
일차진료의를 위한 정형외과 진단과 치료. 김지형. 2011
-
AAOS 핵심 정형외과학 4판. John F. Sarwark. 2013
-
스포츠 침구임상 매뉴얼. Matsumoto tadasu. 2007