갈비뼈 골절(Rib fracture) : 골프를 열심히 치고 나서 담 결리듯이 아파요
갈비뼈 골절의 개요
늑골골절은 워낙 미세하게 부러진 경우가 많아서, 통증을 느낀다고 하는 부위를 자세히 보아야 하고, 의심이 되면 1-2주 정도 지난 다음 다시 사진을 찍어 볼수도 있습니다.

갈비뼈 골절의 증상
침대에 부딪혀 생긴 외상으로 오는 환자도 많고, 골프를 열심히 치고 나서 통증이 생겨 오는 환자도 많습니다. 골프가 원인인 경우는 한 번의 큰 충격이 아닌 반복되는 작은 충격에 의한 골절(피로 골절)로 통증이 서서히 시작되고, 뻐근한 듯한 통증이 지속되기도 합니다.
피로 골절은 평소 운동을 하지 않던 사람이 운동을 시작했을 때 생길 수도 있지만, 운동선수가 기존의 자세를 바꾼다든지 훈련의 강도를 높일 때 생길 수도 있습니다. 운동 종목별로 잘 생기는 부위가 있는데, 골프의 경우 늑골 골절이 유명하고 날개뼈 주위를 아파합니다.
통증이 심하지 않고 시작된 시점이 불분명하며, 사진에서도 잘 보이지 않는 경우가 많아서 골절이 간과될 수 있습니다.
외상에 의해서 생긴 늑골 골절은 피부에 멍이 생길 수도 있고, 외상과 같은 병력이 원인일 수도 있습니다. 소아의 경우 생각보다 늑골 골절은 드문 편이며, 일단 늑골 골절이 진단되면 소아학대를 의심해야 하다는 말도 있습니다. 기침을 아주 심하게 한 경우도 늑골 골절이 생긴 경우가 있었고, 늑골 골절이 생기면 감기에 걸리지 않도록 특히 주의해야 합니다.

갈비뼈 골절의 영상 진단
사진은 AP, both oblique 총 3장을 찍습니다. 공기 영상에서는 뼈가 잘 보이지 않는 경우도 많기 때문에 이전처럼 인화지인 경우에는 뒤쪽에 추가로 전등을 켜고 보기도 합니다. 최근의 PACS에서는 정확한 관찰을 위해 음영을 조절하거나 filter를 넣기도 하며 marginal enhancement 기능을 활용하기도 합니다. 이런 방법은 늑골뿐 아니라 다른 부위의 희미한 영상을 볼 때도 도움이 됩니다.

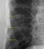
X-ray : 갈비뼈 골절(Rib fracture)
갈비뼈 골절의 치료
휴식이 가장 중요한 치료입니다. 깁스를 하거나 수술을 하는 경우는 거의 없습니다. 복대 비슷한 기구를 가슴에 두르면 통증이 줄어들기 때문에 이러한 상품을 이용하기도 하지만 보통은 잘 사용하지 않습니다. 환자가 답답하다고 사용하지 않는 경우가 많고 가격도 비싸기 때문입니다.
다발성 골절이고, 좀 더 심하게 손상된 경우 기흉, 혈흉 등이 동반될 수도 있기 때문에 다발성 골절인 경우에 좀 더 주의해야 합니다.

참고문헌
- 정형외과 진료편람. 서울대학교 의과대학 정형외과학 교실. 2013
2. 쉽게 배우는 정형외과. Okada kyoji. 2014
-
일차진료의를 위한 정형외과 진단과 치료. 김지형. 2011
-
AAOS 핵심 정형외과학 4판. John F. Sarwark. 2013
-
임상의를 위한 통증의 영상진단과 치료. Steven D. Waldman. 2012
-
응급영상진단의 ABC. Otto Chan. 2010
-
스포츠 침구임상 매뉴얼. Matsumoto tadasu. 2007