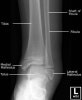
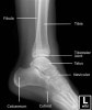
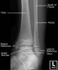
소아 발목의 X-ray2017-02-26카테고리 103원본 보기 Ankle Paediatric Protocol : AP, Lateral Ankle AP view Ankle Mortise view Ankle Lateral view ← 이전 글소아 무릎, 아래 다리의 X-ray다음 글 →발목관절 골절(Salter-Harris fracture)같은 카테고리 글2017-02-25소아 무릎, 아래 다리의 X-ray2017-02-18소아의 골반, 고관절, 대퇴골의 X-ray2017-02-14손목 성장판 골단판 골절(Epiphysiolysis fracture)← 전체 글로 돌아가기