금맥한의원 블로그

소두의 골연골염(Panner’s disease) : 어린 아이에서 외측 팔꿈치 통증이 있어요

  1. 개요
  1. Osteochondrosis of the capitellum 

  2. Usually seen in children < 10 years 

  3. Elbow’s version of Legg-Calve-Perthes Disease 

  1. 임상증상

Presents with lateral elbow pain and perhaps stiffness in an active youngster 

  1. 진단
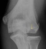
  1. Capitellum fragmentation usually seen on X-ray

  2. Orthopedic referaal appropriate as is MRI 

 

X-ray : 소두의 골연골염(Panner’s disease)

  1. 치료
  1. Stop offending activity : Typically throwing or handsprings(Gymnastic) 

  2. Rest elbow : may consider splinting for a few weeks 

  3. Typically symptoms will resolve in a few months and capitellum ossification will normalize within 2 years 

  4. Long term prognosis excellent in most cases

같은 카테고리 글