원위 요골 골절(Distal radius fracture) : 중년 여성이 팔을 짚으면서 넘어지면서 손목 통증이 생겼어요

원위 요골 골절의 정의
전체 골절 중 15~20%를 차지하는 골절로 신체에서 발생되는 골절 중 가장 흔한 골절입니다.
성인은 60대에서 가장 많고 여자에게 주로 발생되며, 폐경 후 골다공증이 주 원인으로 생각되며, 그 외에 노년층에서 자세 불안정성도 부수적인 원인입니다.
손상기전은 손을 쭉 편 자세로 넘어지는 것입니다.
원위 요골 골절의 동의어
콜레스 골절(Colles fracture)
Smith 골절(Smith fracture)
Barton 골절(Barton fracture)
Chauffeur's 골절(Chauffeur's fracture)
Die-punch 골절(Die-punch fracture)
원위 요골 골절의 분류
골절 유형을 분류하는 가장 중요한 기준은 개방골절과 전위여부입니다.
1. 콜레스 골절(Colles fracture) : 요골 먼쪽의 골절 부분이 위쪽 또는 뒤쪽으로 전위되는 유형으로 가장 흔합니다. 관절면이 같이 골절되기도 하고 척골 경상돌기의 골절도 흔히 동반됩니다. 최근에는 골다공증이 많아지고, 심하지 않은 통증으로도 병원을 찾는 예가 많아 미세한 골절을 종종 보게 됩니다.


2. Smith 골절 : Colles 골절과 반대로 골절 부위의 먼쪽이 아래 또는 앞쪽으로 전위됩니다.

3. Barton 골절 : 관절 속의 골절로써 손목뼈가 손등이나 손바닥 쪽으로 아탈구됩니다(Volar-type : A fracture-dislocation of radial volar rim(m/c), Dorsal-type : A fracture-dislocation of radial dorsal rim).


4. Chauffeur's 골절 : 요골 경상돌기 바닥을 사선으로 통과하는 골절입니다.

5. Diepunch 골절 : 월상골 또는 주상골 반대쪽으로 관절면이 함몰되는 골절입니다.

원위 요골 골절의 AO classification
1. A : extra-articular fracture
1) A1 : ulna, radius intact
2) A2 : radius, simple and impacted
3) A3 : radius, multifragmentary

2. B : partial articular fracture
1) B1 : radius, sagittal
2) B2 : radius, frontal, dorsal rim
3) B3 : radius, frontal, volar rim

3. C : complete articular fracture of radius
1) C1 : articular simple, metaphyseal simple
2) C2 : articular simple, metaphyseal multifragmentary
3) C3 : articular multifragmentary

원위 요골 골절의 임상증상
손을 쭉 편 자세로 넘어지는 것이 전형적인 병력입니다.
급성통증, 압통, 종창, 그리고 손목관절의 기형이 흔한 증상입니다.
원위 요골 골절의 이학적 검사
손목관절과 요골 먼쪽의 종창, 기형, 피부색 변화, 그리고 개방골절을 의미하는 피부손상과 출혈(대개 혈액에 지방이 섞인 모양)이 있는지를 확인합니다.
정중신경, 요골신경 및 척골신경의 감각기능, 손가락 끝의 혈류상태를 평가하고 주관절에 종창 또는 압통이 있는지를 확인합니다.
원위 요골 골절의 영상 검사
손목관절을 포함한 아래팔의 X-ray(AP, lateral) 검사를 합니다(골절편의 전위 위치를 알 수 있으며, 정복 후에 골절의 양상, 분쇄 정도 및 골절의 안정성 등 파악 가능).
Facet lateral view : 관절내 골절인 경우 요측 경사와 같은 각도로 원위에서 근위로 약 20도의 각을 주어 측면사진을 촬영하는 것입니다.
간혹 주관절이 동반손상되는 경우가 있으므로 종창과 압통이 있으면 주관절의 X-ray 검사도 합니다.

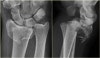
X-ray : 콜레스골절(Colle’s fracture)

X-ray : 원위 요골 골절(Smith fracture)

X-ray : 원위 요골 골절(Volar-type Barton's fracture)

X-ray : 원위 요골 골절(Dorsal-type Barton's fracture)

X-ray : 원위 요골 골절(Die-punch fracture)

X-ray : 원위 요골 골절(Chauffeur's fracture)
원위 요골 골절의 치료
1. Extra-articular fracture
1) Conservative : reduction 후 sugar tong splint
2) Operative : 도수 정복에 실패한 경우, 후방 피질골의 분쇄가 심하거나 전방 피질골의 분쇄가 동반된 경우, 젊고 활동적인 환자
2. Intra-articular fracture
골절편의 전위가 경미하고 골간단부의 지지가 안정되어 있으면 도수 후 보존적 치료를 합니다.
골절편의 전위가 있어 고정이 필요한 경우 수술적 치료를 시행합니다.

전위정도가 적은 골절은 석고 부목만으로 치료합니다.
전위된 경우는 정복한 후 석고로 고정시킵니다. 1주마다 사진을 찍어 정복 소실(reduction loss)이 생기는지 판단합니다. 총 6주간 고정하는데, 그 사이 어깨와 손가락이 굳지 않도록 주의해야 합니다.
2주째부터는 어깨와 손가락에 각별히 신경써야 합니다. 일반적으로 23주간 설탕집게보조기(sugar tong splint)와 23주간 짧은팔캐스트(short arm cast)를 해줍니다(노인과 비활동적인 환자에서는 2주간의 설탕집게보조기와 2주간의 짧은팔캐스트를 하면 됩니다).
캐스트를 제거한 후에는 목욕이나 운동치료시 탈착이 가능한 보조기를 3주간 시행합니다. 어깨관절의 강직을 예방하기 위해서 하루에 2번은 어깨관절과 주관절의 완전가동범위에서 운동을 합니다. 마찬가지로 능동 및 수동 손가락 운동(5회, 하루 4번)을 합니다.
전위성 골절은 종종 불안정성하여 추가적으로 내적 또는 외적 고정수술이 필요합니다.
개방골절은 상처소독 및 세척, 절제, 그리고 항생제 투여가 필요합니다.
치유과정에서 진통, 골 유합의 촉진을 위해 침 치료를 적용합니다(근위축 예방과 근육 운동시의 동통완화 효과를 목적으로 합니다).
Cf) 척골 경상돌기 골절(Ulnar styloid process fracture)
An ulnar styloid process fracture is usually associated with radial fractures and rarely isolated.
An isolated fracture of the tip is clinically insignificant.
Displaced fractures of the base are usually associated with TFCC tears and can be associated with instability of the distal radioulnar joint(DRUJ).

X-ray : 척골 경상돌기 골절(Ulnar styloid process fracture)
참고문헌
- 정형외과 진료편람. 서울대학교 의과대학 정형외과학 교실. 2013
2. 쉽게 배우는 정형외과. Okada kyoji. 2014
-
일차진료의를 위한 정형외과 진단과 치료. 김지형. 2011
-
AAOS 핵심 정형외과학 4판. John F. Sarwark. 2013
-
임상의를 위한 통증의 영상진단과 치료. Steven D. Waldman. 2012
-
응급영상진단의 ABC. Otto Chan. 2010
-
스포츠 침구임상 매뉴얼. Matsumoto tadasu. 2007