삼각골 골절(Triquetrum fracture) : 넘어지면서 팔을 펴고 짚은 뒤 삼각골이 부러졌어요

삼각골 골절의 정의
수근골 골절 중 두번째로 흔한 골절(3~7%)입니다.
손상기전은 Fall on outstretched hand 입니다.
삼각골 골절의 임상증상
손목관절의 척골쪽 통증을 호소합니다.
삼각골 골절의 이학적 검사
손목 뒤쪽에서 척골 경상돌기의 먼쪽에 압통이 있습니다.
손목을 굴곡시킬 때 통증이 있습니다.
삼각골 골절의 영상 검사
손목 X-ray를 촬영합니다.
Avulsion chip fracture는 lateral, oblique view에서 잘 보입니다.


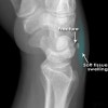
X-ray : 삼각골 골절(Triquetrum fracture)
삼각골 골절의 치료
- Body fracture
-
Minimally displaced : 4~6주간 석고 고정을 시행합니다. 재활운동은 통증이 줄어든 뒤 시작합니다.
-
Displaced : 정복 후 고정(fixation)합니다. 치유과정에서 진통, 골 유합의 촉진을 위해 침 치료를 적용합니다(근위축 예방과 근육 운동시의 동통완화 효과를 목적으로 합니다).
- Avulsion chip fracture
증상이 있는 2~3주간 움직이지 않습니다. 재활운동은 통증이 줄어든 뒤 시작합니다.
치유과정에서 진통, 골 유합의 촉진을 위해 침 치료를 적용합니다(근위축 예방과 근육 운동시의 동통완화 효과를 목적으로 합니다).

참고문헌
- 정형외과 진료편람. 서울대학교 의과대학 정형외과학 교실. 2013
2. 쉽게 배우는 정형외과. Okada kyoji. 2014
-
일차진료의를 위한 정형외과 진단과 치료. 김지형. 2011
-
AAOS 핵심 정형외과학 4판. John F. Sarwark. 2013
-
임상의를 위한 통증의 영상진단과 치료. Steven D. Waldman. 2012
-
응급영상진단의 ABC. Otto Chan. 2010
-
스포츠 침구임상 매뉴얼. Matsumoto tadasu. 2007