Acetabular Labrum의 MRI finding

- Definition
1) Fibrocartilaginous tissue
2) Contiguous with acetabular(hyaline) articular cartilage
3) Synovial recess between labrum and capsule

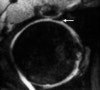
- Coronal section
The triangular shaped superior labrum(white) and inferior labrum(black) are surrounded by contrast and therefore well visualized.
The transverse acetabular ligament(arrowheads) blends with the hip capsule.

- Axial section
Axial oblique T2 gradient echo MR arthrogram demonstrating anterior and posterior portions of acetabular labrum.
Note that there is some heterogeneous signal within the intact labrum which may represent myxoid degeneration.

4. Anatomical variant(Sublabral sulcus)
1) Anterosuperiorly
2) Posteroinferiorly
3) Anteroinferiorly
4) Posterosuperiorly