Lisfranc 인대 손상 (Lisfranc injury, Midfoot sprain) : 발끝이 걸려 넘어지며 심하게 삔 뒤 발등이 부은 것은 많이 가라앉았는데 발끝에 체중을 실으면 발등이 아직 아파요

정의
Lisfranc 인대는 내측 설상골 전외측과 제2중족골 기저부 내측을 비스듬하게 연결하는 인대입니다.
과도한 저굴 상태에서 체중이 실리고 발끝으로부터의 외력으로 잘 파열됩니다.
단순한 염좌로 간과되어져 잘 낫지 않는 염좌로 다루어지고 있는 경우가 많습니다.
Lisfranc 인대 손상을 알고 있으면 수상기전과 오래 지속되는 특징적인 통증으로부터 쉽게 진단할 수 있습니다.

임상증상
체중 부하 상태, 특히 종아치나 착지시 발등 부분에 통증이 생깁니다.

이학적 검사
국소 압통, 제1중족골의 저배굴, 내외전, 내외회전을 강제적으로 할 때 운동통이 있습니다.
중족부를 쥐고 압박하면 아픈것이 특징적입니다.

영상 검사
양측 체중부하 상태, 체중부하하지 않은 상태에서 족부 정면 X-ray 사진을 찍습니다.
초기 X-ray에서 정상으로 보여도 통증이 지속되면 재촬영을 실시합니다.
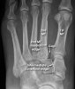
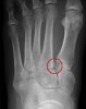
제 1, 2 중족골 기저부의 간격이 건측에 비해 크고 체중부하 상태에서의 해당 간극의 변화가 건측에 비해 큽니다.
내측, 중간 설상골 사이가 벌어져 있으며, 설상골간인대도 파열되어 있습니다.

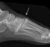
X-ray : Lisfranc 인대 손상 (Lisfranc injury, Midfoot sprain)

X-ray : Lisfranc 인대 손상 (Lisfranc injury, Midfoot sprain)
치료
초기에 진단이 되면 체중부하하지 않고 석고 고정을 3주, 그 후 보행 석고로 3주 고정하며 그 후 6~12주간 아치받침을 착용합니다.
처음부터 간격이 넓은 증례에서는 나사를 사용하여 투시하에 경피적으로 내측 설상골과 제2중족골 기저부를 고정합니다.
보존적 치료를 3개월 이상 치료 후에도 통증이 심한 증례는 제12 중족골 기저부간 제12 설상골 사이에 골이식을 시행해 관혈적으로 관절 고정합니다.
치유과정에서 진통, 인대 유합의 촉진을 위해 침 치료를 적용합니다(근위축 예방과 근육 운동시의 동통완화 효과를 목적으로 합니다).

참고문헌
- 정형외과 진료편람. 서울대학교 의과대학 정형외과학 교실. 2013
2. 쉽게 배우는 정형외과. Okada kyoji. 2014
-
일차진료의를 위한 정형외과 진단과 치료. 김지형. 2011
-
AAOS 핵심 정형외과학 4판. John F. Sarwark. 2013
-
임상의를 위한 통증의 영상진단과 치료. Steven D. Waldman. 2012
-
응급영상진단의 ABC. Otto Chan. 2010
-
스포츠 침구임상 매뉴얼. Matsumoto tadasu. 2007
-
발 클리닉(임상에서 바로 통하는 발 진료 노하우). Suguru inokuchi. 2011