입방골 압박골절(Cuboid fracture, Nutcracker fracture) : 발이 바깥으로 비틀려 몹시 심하게 삐어서 발의 외측이 붓고 아프며 좀처럼 좋아지지 않아요
정의
'호두까기 골절(Nutcracker fracture)'이라고도 불리며 흔하지 않은 골절입니다.
외번 염좌의 기전으로 발생하며 종골에 압박되어 종입방 관절면의 연골하 뼈가 부서집니다.
종골 전방돌기 골절과 함께 심한 염좌로서 간과된 뒤에 난치성 염좌로 방치되는 경우가 적지 않습니다.
진단
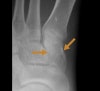
X-ray에서는 종입방관절면을 따라 골절선을 볼 수 있습니다.
초기의 X-ray에서는 발견할 수 없어도 골위축증이 시작되는 3주일 후의 X-ray에서 발견되는 경우가 있습니다.

X-ray : 입방골 압박골절(Cuboid fracture, Nutcracker fracture)

X-ray : 입방골 압박골절(Cuboid fracture, Nutcracker fracture)
치료
놓쳐진 후 염좌로 치료되면 통증이 길어집니다.
치유과정에서 진통, 골 유합의 촉진을 위해 침 치료를 적용합니다(근위축 예방과 근육 운동시의 동통완화 효과를 목적으로 합니다).
cf) 설상골 골절(Cuneiform fracture)
무거운 물체가 발등에 떨어져서 일어나는 직접 골절입니다.

**X-ray :**설상골 골절(Cuneiform fracture)
참고문헌
- 정형외과 진료편람. 서울대학교 의과대학 정형외과학 교실. 2013
2. 쉽게 배우는 정형외과. Okada kyoji. 2014
-
일차진료의를 위한 정형외과 진단과 치료. 김지형. 2011
-
AAOS 핵심 정형외과학 4판. John F. Sarwark. 2013
-
임상의를 위한 통증의 영상진단과 치료. Steven D. Waldman. 2012
-
응급영상진단의 ABC. Otto Chan. 2010
-
스포츠 침구임상 매뉴얼. Matsumoto tadasu. 2007
-
발 클리닉(임상에서 바로 통하는 발 진료 노하우). Suguru inokuchi. 2011