허글런드 변형(Haglund deformity) : 운동을 하면 발꿈치 뒤가 아프고 쉬면 좋아지지만 다시 시작하자마자 바로 아파져요

정의
종골 결절부 후상방 외측의 비정상인 골성 돌출로 'Haglund 변형'이라고 부르며 insertional Achilles 변성의 일종입니다.
동의어로는 Haglund disease, Haglund syndrome이 있습니다.
임상증상
보행시나 신체활동 시에 통증으로 절룩거리게 되며, 마찰 때문에 신발을 신는 것도 불편해집니다.
아킬레스건 주위염, 점액낭염을 일으키기 쉬워집니다.
노인에서는 아킬레스 힘줄 부착부위의 건병증, 석회화, 힘줄의 퇴행성 파열이 가장 흔합니다.

이학적 검사
발꿈치 뒤쪽에 종창, 압통이 있습니다.
아킬레스 건병증이 있으면 아킬레스 힘줄 바로 위에 압통이 있고 힘줄을 쥐어짜듯이 하면 통증이 심해집니다.
힘줄이 비후되거나 결절이 생길 수도 있습니다.

영상 검사
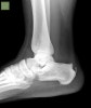
Lateral view X-ray에서 아킬레스 힘줄의 석회화, 뼈돌기, 발꿈치 뼈의 후상방 부위 돌출 등을 볼 수 있습니다.

X-ray : 허글런드 변형(Haglund deformity)

MRI : 허글런드 변형(Haglund deformity)
치료
보존적 치료의 가장 중요한 것은 신발에 의한 압박을 피하는 것이며 하이힐을 넓히거나 쿠션이 붙은 신발로 바꿉니다.
얼음찜질과 냉온욕은 염증을 줄여줍니다. 염증이 가라앉으면 바로 아킬레스 힘줄 스트레칭을 시작해야 합니다.
아킬레스건 주위염이 난치성이고 이 변형이 있는 경우는 절제하면 치료될 가능성이 있습니다.

참고문헌
- 정형외과 진료편람. 서울대학교 의과대학 정형외과학 교실. 2013
2. 쉽게 배우는 정형외과. Okada kyoji. 2014
-
일차진료의를 위한 정형외과 진단과 치료. 김지형. 2011
-
AAOS 핵심 정형외과학 4판. John F. Sarwark. 2013
-
임상의를 위한 통증의 영상진단과 치료. Steven D. Waldman. 2012
-
응급영상진단의 ABC. Otto Chan. 2010
-
스포츠 침구임상 매뉴얼. Matsumoto tadasu. 2007
-
발 클리닉(임상에서 바로 통하는 발 진료 노하우). Suguru inokuchi. 2011