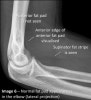
Elbow X-ray의 Fat pad sign




- Lateral view
1) Anterior & Posterior fat pad sign
Anterior fat pad is located in the coronoid fossa. A narrow anterior fat pad is a normal finding on the lateral view.
The posterior fat pad is located in the olecranon fossa on the lateral view. It should not be visible under normal circumstances.
Anterior fat pad sign : 70-80% Intra-articular fracture
Posterior fat pad sign : 90% Intra-articular fracture.

- Sail sign
The anterior fat pad can be displaced up and out by fluid in the elbow joint, creating the "sail sign". This usually indicates a fracture in children in the setting of an injury.
Fluid in the elbow joint can displace the fat pad up and out making it visible on the lateral view.
Indicates that the patient has sustained an intra-articular injury. Importantly, it does not indicate that the patient has definitely sustained an intra-articular bony injury.

3) Supinator fat pad sign
Supinator fat pad can be raised or obliterated as a result of bony injury, particularly to the radial neck.
It is one of those unreliable soft tissue signs, but is useful as a guide to potential bony injury.

- AP view
Medial or lateral epicondyle에 손상이 있는 경우 주변 연부조직이 부을 수 있습니다.