발가락 관절의 탈구(MTPJ Dislocation) : 발가락이 문 사이에 끼어, 비틀었더니 구부러져버려 아파요

정의
손가락에 비해 짧고 신발로 보호받고 있기 때문에 발가락의 탈구는 흔하지 않습니다.
'부딪혔을 때 발가락이 구부러져 있었는데, 스스로 잡아당겨 치료하였다.', '저절로 치유되었다'라는 이야기를 자주 듣습니다.
종자골이나 건의 조임(incarceration)이 없으면 의사에게 가기 전에 탈구가 자연정복되어 버리는 경우도 많기 때문에 심한 염좌와 정복된 탈구는 구별하기 어렵습니다.

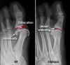
진단
관절의 불안정성이 남아 있으면 탈구이지만 초기에는 아파서 검사할 수 없습니다.
X-ray 촬영을 실시합니다.

X-ray : 발가락 관절의 탈구(MTPJ Dislocation)

X-ray : 발가락 관절의 탈구(MTPJ Dislocation)

X-ray : 발가락 관절의 탈구(MTPJ Dislocation)
치료
정복되어 있으면 발가락과의 반창고 고정 이상의 처치는 무지를 제외하고는 필요하지 않습니다.
무지의 경우는 MTP 관절의 신전구축이나 종자골 복합 구조의 장애를 남기면 통증의 원인이 될 뿐만 아니라 변형성 관절증의 원인이 되므로 3주간의 중립 상태 고정과 체중부하하지 않는 것이 필요합니다.
참고문헌
- 정형외과 진료편람. 서울대학교 의과대학 정형외과학 교실. 2013
2. 쉽게 배우는 정형외과. Okada kyoji. 2014
-
일차진료의를 위한 정형외과 진단과 치료. 김지형. 2011
-
AAOS 핵심 정형외과학 4판. John F. Sarwark. 2013
-
임상의를 위한 통증의 영상진단과 치료. Steven D. Waldman. 2012
-
응급영상진단의 ABC. Otto Chan. 2010
-
스포츠 침구임상 매뉴얼. Matsumoto tadasu. 2007
-
발 클리닉(임상에서 바로 통하는 발 진료 노하우). Suguru inokuchi. 2011