제5중족골 골절(5th metatarsal fracture) : 계단에서 발을 삐끗한 뒤 발의 외측이 아파요

정의
제5중족골에 발생한 골절입니다.
해부
1. 제1구역 : 발허리입방관절의 관절면 부위를 포함
2. 제2구역 : 넷째, 다섯째 중족골 뼈의 관절면을 포함(좀 더 오랜 기간 고정이 필요)
3. 제3구역 : 제2구역에서 원위쪽 부위로 1.5cm 부위까지(부정유합 또는 지연유합이 올 수도 있다.)

분류
- 박리골절(avulsion fracture) : 90% of base of 5th metatarsal fractures
나막신을 신고 넘어져 골절된다고 하며 나막신 골절이라고도 부릅니다.
족저근막의 외측열과 단비골건 모두 발목의 회외 손상(supination injuries)으로 인한 견열 골절이지만, 전족부의 족저측이냐 족배측이냐의 구조에 따라서 어느 구조가 견열을 일으키느냐에 영향을 끼칩니다.
일반적으로 단비골건 견열 골절은 더 크고 관절 내에서 발생한다.
Os peroneum, os vesalianum과 감별진단해야 합니다.
- 존스골절(Jones fracture) : 박리골절과 매우 유사한 제5중족골 기저부의 골절인데 기저부로부터 2cm 정도 원위부에 위치한 골간부 골절로 운동에 의한 피로골절입니다(주로 달리기를 많이 한 뒤 발생).
수상 전의 통증이나 종창 등 피로골절을 떠올리게 하는 소견이 적은 증례(급성 골절)는 박리골절의 2배 정도의 기간 동안 석고 고정하면 보존적으로 치료될 수 있습니다.

임상증상
보행 시 종창과 통증을 호소합니다.
이학적 검사
골절이 있는 중족골 부위에 종창, 출혈반점, 압통이 존재합니다.

영상 검사
발의 AP view, lateral view, oblique X-ray 촬영을 실시합니다.

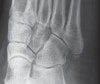
X-ray : 제5중족골 골절(Avulsion fracture of Plantar fascia)

X-ray : 제5중족골 골절(Avulsion fracture of peroneus brevis tendon)

X-ray : 제5중족골 골절(Jones fracture)

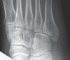
Left image : The fracture line passes transversely across the bone.
Right image : A normal unfused 5th metatarsal base apophysis is aligned more longitudinally along the bone.

Developing apophysis는 시상면 방향으로 된 성장판을 가지는데, 골화 중심이 종축 방향이기 때문
치료
박리골절(avulsion frature) 또는 몸쪽 골간단 골절(metaphyseal fracture, 제2구역)은 수술을 안 해도 대개 잘 치유됩니다(24주 체중부하 단하지 석고를 적용하고 46주 후 유합됩니다).
존스골절(Jones fracture)은 대개 석고부목 고정으로 치유되지만 체중부하가 되지 않게 하면서 6~8주는 석고부목을 해야합니다.
운동선수의 경우에는 조기에 수술적 고정(internal fixation)을 고려하기도 합니다.
제3구역의 골절은 종종 피로골절과 유사하여 내번 손상시 증상이 갑자기 심해지며, 부정유합이나 지연유합을 막기 위해 수술을 고려해야 합니다.
또한, 골절편이 큰 경우, 전위가 심한 경우, 관절 내 골절시 수술을 고려합니다.
골절이 Old-neglecte인 경우도 있습니다(통증이 없는 경우 경과관찰합니다).
치유과정에서 진통, 골 유합의 촉진을 위해 침 치료를 적용합니다(근위축 예방과 근육 운동시의 동통완화 효과를 목적으로 합니다).
Cf) Flake fractures
Small flakes of bone are a common finding following trauma. The significance of these injuries depends on their anatomical location.
The fracture of 5th metatarsal base shown here is at the insertion point of the peroneus brevis tendon and is therefore potentially more significant than the fracture of the cuboid bone.

참고문헌
- 정형외과 진료편람. 서울대학교 의과대학 정형외과학 교실. 2013
2. 쉽게 배우는 정형외과. Okada kyoji. 2014
-
일차진료의를 위한 정형외과 진단과 치료. 김지형. 2011
-
AAOS 핵심 정형외과학 4판. John F. Sarwark. 2013
-
임상의를 위한 통증의 영상진단과 치료. Steven D. Waldman. 2012
-
응급영상진단의 ABC. Otto Chan. 2010
-
스포츠 침구임상 매뉴얼. Matsumoto tadasu. 2007
-
발 클리닉(임상에서 바로 통하는 발 진료 노하우). Suguru inokuchi. 2011