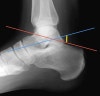
Boehler’s angle
[종골 골절(Calcaneal fracture) : 높은 곳에서 낙상 후 발뒤꿈치가 퉁퉁 부었어요
정의뒷발에 위치한 종골(calcaneus)의 골절입니다.족근골 골절 중 가장 흔합니다(60% of all tarsal fractu...
blog.naver.com](http://blog.naver.com/nopaindays/220803486378)


<25º is a fracture with displacement through the calcaneus.
Dysplastic development of the calcaneus may also disturb the angle.

Red line : From posterosuperior calcaneal tuberosity to tip of the posterior facet of the subtalar joint
Blue line : From tip of posterior facet through superior margin of anterior process of calcaneus